en-us Copyright (C) 2016 utsouthwestern.edu https://www.simmonscancercenter.org/ Simmons Cancer Center News Harold C. Simmons Comprehensive Cancer Center - Cancer Center Current News <![CDATA[Study identifies why some breast cancers evade treatment]]> Breast cancers treated with estrogen-depriving therapy
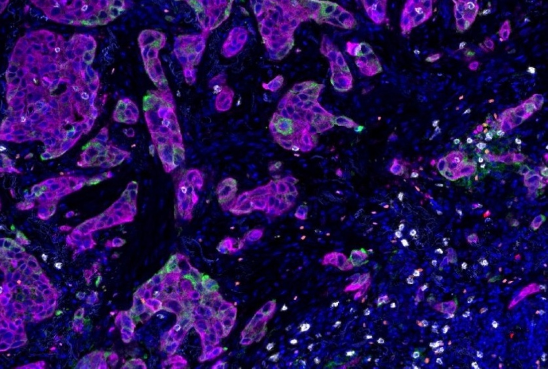
Breast cancers treated with estrogen-depriving therapy were examined using fluorescent markers to highlight cancer cells (green), immune cells (red), cells that are actively dividing (yellow), and DNA, which marks the nucleus of every cell (blue).

DALLAS – Feb. 05, 2026 – Up to 20% of hormone receptor-positive breast cancers don’t respond to antiestrogen therapies. A study led by researchers at UT Southwestern, published in The Journal of Clinical Investigation, suggests that a protein secreted by immune cells within these tumors causes them to grow even in the absence of estrogen.

“Our findings on the role of the tumor immune microenvironment in endocrine resistance point to new therapeutic strategies to overcome resistance and improve outcomes for patients,” said Ariella Hanker, Ph.D., Associate Professor in the Harold C. Simmons Comprehensive Cancer Center and of Internal Medicine at UT Southwestern.

Ariella Hanker, Ph.D.
Ariella Hanker, Ph.D., is Associate Professor in the Harold C. Simmons Comprehensive Cancer Center and of Internal Medicine at UT Southwestern.

Dr. Hanker co-led the study with Carlos L. Arteaga, M.D., Director of the Simmons Cancer Center and Associate Dean of Oncology Programs, and first author Fabiana Napolitano, M.D., Ph.D., a former member of the Arteaga Lab.

Nearly 80% of breast cancers are hormone receptor-positive and thus rely on estrogen to multiply and survive. Treatment of these cancers is typically based on depriving them of estrogen through various means, such as drugs that inhibit estrogen production. Although these therapies have significantly increased breast cancer survival, a subset of hormone receptor-positive cancers don’t respond, often leading them to recur after other treatments, including surgery and radiation.

Why these hormone receptor-positive cancers resist antiestrogen therapies hasn’t been clear, Dr. Hanker explained. To answer this question, she and her colleagues looked at 173 tumor samples from Vanderbilt University Medical Center, UT Southwestern, and Parkland Health. They compared those that responded to estrogen-depriving (ED) treatment with those that had become resistant. The researchers found a significant increase in gene expression for various immune pathways in the resistant tumors. These findings suggest the presence of immune cells within the tumor, such as B cells and T cells, as well as an uptick in immune-related activity in the cancer cells themselves.

Carlos L. Arteaga, M.D.
Carlos L. Arteaga, M.D., is Director of the Harold C. Simmons Comprehensive Cancer Center and Associate Dean of Oncology Programs. He holds the Annette Simmons Distinguished University Chair in Breast Cancer Research.

Examining similar tissue samples collected before and after patients received ED therapy showed that the therapy itself appeared to spur these immune pathways, increasing the infiltration of activated immune cells into tumors – but only in the ED-resistant samples. This suggests that antiestrogen therapy might cause cells within the tumor to release a chemical signal summoning the immune cells to the cancer site.

Further experiments identified this signal as CXCL11, a protein secreted by immune cells that recruits T cells to fight tumors and infections. When the researchers cultured hormone receptor-positive breast cancer cells without estrogen – a state in which they typically grow poorly – they thrived with the addition of CXCL11. They found similar results when they co-cultured breast cancer cells with T cells.

“This study is a good bedside-to-bench example of how starting from tumors in patients treated with estrogen suppression can inform mechanistic discovery in the laboratory that, in turn, can inform new biology and treatment directions for patients with breast cancer,” Dr. Arteaga said.

Together, these results suggest that T cells within hormone receptor-positive, ED-resistant tumors are a double-edged sword. Although the CXCL11 they produce spurs cancer growth, it also summons T cells to the tumor site that could potentially serve as cancer fighters, Dr. Hanker explained. Hormone receptor-positive breast cancers have long been considered immunologically “cold,” meaning that immunotherapies aren’t effective because they lack active immune cells. While this is true for the ED-sensitive tumors, ED-resistant tumors appear to have significantly more T cells. Thus, they may be more responsive to immunotherapies, an idea Dr. Hanker and her colleagues plan to test in a future clinical trial.

“Eventually, doctors may use CXCL11 as a biomarker to signal which hormone receptor-positive breast cancers might respond to immunotherapies,” she said.

A complete list of authors from UTSW can be found in the study.

Dr. Arteaga holds the Annette Simmons Distinguished University Chair in Breast Cancer Research.

This study was funded by the National Cancer Institute (R01CA224899), the Department of Defense (BC210406), the National Cancer Institute Breast Specialized Program of Research Excellence (SPORE) (P50CA098131), the National Cancer Institute Cancer Center Support Grant (P30CA142543), the Cancer Prevention and Research Institute of Texas (RR170061), the Susan G. Komen Breast Cancer Foundation (SAB1800010), and the Breast Cancer Research Foundation.

About UT Southwestern Medical Center    

UT Southwestern, one of the nation’s premier academic medical centers, integrates pioneering biomedical research with exceptional clinical care and education. The institution’s faculty members have received six Nobel Prizes and include 24 members of the National Academy of Sciences, 25 members of the National Academy of Medicine, and 13 Howard Hughes Medical Institute Investigators. The full-time faculty of more than 3,300 is responsible for groundbreaking medical advances and is committed to translating science-driven research quickly to new clinical treatments. UT Southwestern physicians in more than 80 specialties care for more than 143,000 hospitalized patients, attend to more than 470,000 emergency room cases, and oversee nearly 5.3 million outpatient visits a year.

About Parkland Health

Parkland Health is one of the largest public hospital systems in the country. Premier services at the state-of-the-art Parkland Memorial Hospital include the Level I Rees-Jones Trauma Center, the only burn center in North Texas verified by the American Burn Association for adult and pediatric patients, and a Level III Neonatal Intensive Care Unit. The system also includes two on-campus outpatient clinics – the Ron J. Anderson, MD Clinic and the Moody Outpatient Center – as well as more than 30 community-based clinics and numerous outreach and education programs. By cultivating its diversity, inclusion, and health equity efforts, Parkland enriches the health and wellness of the communities it serves. For more information, visit parklandhealth.org.

]]>
https://www.utsouthwestern.edu/newsroom/articles/year-2026/feb-breast-cancers-evade-treatment.html Thu, 05 Feb 2026 09:57:00 -0600
<![CDATA[Experimental pill dramatically reduces ‘bad’ cholesterol]]> Senior Female Medical Appointment
Patients taking a daily pill called enlicitide that binds to the PCSK9 protein in the bloodstream reduced their LDL cholesterol levels by about 60% compared with a placebo, according to clinical trial results. (Photo credit: Getty Images)

DALLAS – Feb. 04, 2026 – An experimental pill called enlicitide slashed levels of low-density lipoprotein (LDL) cholesterol, commonly known as “bad” cholesterol, by up to 60%, a new phase three clinical trial published in The New England Journal of Medicine showed. If approved by the Food and Drug Administration, this novel medication could help millions in the U.S. significantly reduce their risk of heart attacks and strokes.

Ann Marie Navar, M.D., Ph.D.
Ann Marie Navar, M.D., Ph.D., is a cardiologist and Associate Professor of Internal Medicine and in the Peter O’Donnell Jr. School of Public Health at UT Southwestern Medical Center.

“Fewer than half of patients with established atherosclerotic cardiovascular disease currently reach LDL cholesterol goals. An oral therapy this effective has the potential to dramatically improve our ability to prevent heart attacks and strokes on a population level,” said Ann Marie Navar, M.D., Ph.D., a cardiologist and Associate Professor of Internal Medicine and in the Peter O’Donnell Jr. School of Public Health at UT Southwestern Medical Center. Dr. Navar led the study, which was sponsored by the drugmaker Merck & Co. Inc.

Researchers have known for decades that LDL cholesterol causes cardiovascular disease. Cholesterol-containing particles deposit in blood vessel walls, a process called atherosclerosis, which can then cause heart attacks and strokes. Consequently, lowering LDL cholesterol is a cornerstone of preventing cardiovascular disease in people who do not yet have it and reducing the risk of heart attacks and strokes in people who are already affected.

The development of enlicitide resulted directly from research conducted at UT Southwestern, Dr. Navar explained. Decades ago, Michael Brown, M.D., Professor of Molecular Genetics and Internal Medicine, and Joseph Goldstein, M.D., Chair and Professor of Molecular Genetics and Professor of Internal Medicine, discovered the LDL receptor on liver cells, which removes LDL cholesterol from the blood. This breakthrough not only earned the pair the Nobel Prize in Physiology or Medicine in 1985 but also laid the groundwork for developing statins, the class of medications most commonly prescribed to lower cholesterol levels.

Type of cholesterol in human blood vessels.
(Photo credit: Getty Images)

Subsequent research came through the Dallas Heart Study based at UTSW, led by Helen Hobbs, M.D., Professor in the Eugene McDermott Center for Human Growth and Development and of Internal Medicine and Molecular Genetics, and Jonathan Cohen, Ph.D., Professor in the Center for Human Nutrition, the Eugene McDermott Center for Human Growth and Development, and of Internal Medicine. They found a group of people with lower levels of LDL cholesterol due to genetic changes that caused them to make less of the PCSK9 protein. PCSK9 reduces the number of LDL cholesterol receptors on liver cells, slowing the liver’s ability to clear LDL cholesterol from the bloodstream. This finding led to the development of injectable drugs that inhibit PCSK9, first in the form of monoclonal antibodies, and then as a small interfering RNA that inhibits the synthesis of the PCSK9 protein itself. The monoclonal antibodies, evolocumab and alirocumab, reduce circulating LDL cholesterol levels by about 60%.

Cholesterol research at UTSW

UT Southwestern is a global leader in cholesterol research, with a legacy spanning nearly five decades.

LDL discovering: In the 1980s, molecular genetics professors Michael Brown, M.D., and Joseph Goldstein, M.D., discovered the low‑density lipoprotein (LDL) receptor, revealing how cells regulate cholesterol and explaining why inherited defects in this pathway cause familial hypercholesterolemia. Their work led to the 1985 Nobel Prize in Physiology or Medicine as well as the development of statins – the gold standard drug for lowering cholesterol.

Targeting PCSK9 mutations: In 2000, Helen Hobbs, M.D., co-launched the Dallas Heart Study, a multiethnic, population-based study of several thousand individuals in Dallas County. Together with her research partner, Jonathan Cohen, Ph.D., they identified naturally occurring mutations in the PCSK9 gene. Their discoveries enabled the development of PCSK9‑targeted therapies that provide dramatic LDL‑lowering for patients who need options beyond statins.

Innovations in lipid biology: Recent research includes identifying novel enzymes such as PSS1 that block "bad" cholesterol uptake and advancing trials for oral PCSK9 inhibitors.

Global recognition: UT Southwestern was ranked No. 2 in the world for Endocrinology & Metabolism research by U.S. News & World Report (2025-26), a field central to cholesterol and lipid science.

Despite the efficacy of these drugs, Dr. Navar said, research by her group and others has shown that they are rarely prescribed. Early barriers to therapy included their high cost and insurance issues. Despite reductions in price and improvements in insurance coverage, the vast majority of primary care physicians and a substantial minority of cardiologists still don’t prescribe them, possibly because they are only available as injections, she hypothesized.

Enlicitide works in a similar fashion to the monoclonal antibodies, binding to PCSK9 in the bloodstream, but it is taken once a day orally in pill form.

In the new phase three clinical trial, researchers tested enlicitide’s ability to lower LDL cholesterol in 2,909 patients who either had established atherosclerosis or were considered at risk for developing it due to related conditions. Two-thirds of the patients received the study drug, while the other third received a placebo. Even though the vast majority of these volunteers were already taking a statin, their average LDL cholesterol level was 96 milligrams per deciliter (mg/dl), far above the 70 mg/dl recommended for those with atherosclerosis and 55 mg/dl for those at risk of atherosclerotic cardiovascular disease.

“The study population reflects what we see in clinical practice,” Dr. Navar said. “Even the highest intensity statins are often not enough to get people to their cholesterol goals.”

After 24 weeks, those taking enlicitide reduced their LDL cholesterol levels by about 60% compared with a placebo. Enlicitide also significantly reduced other blood lipid markers associated with cardiovascular disease, including non-HDL lipoprotein cholesterol, apolipoprotein B, and lipoprotein(a). The results held steady over a yearlong follow-up period.

“These reductions in LDL cholesterol are the most we have ever achieved with an oral drug by far since the development of statins,” Dr. Navar said.

A separate clinical trial is already underway to study whether this decrease in LDL cholesterol translates into reductions in heart attacks and strokes.

Dr. Brown, a Regental Professor, holds the Paul J. Thomas Chair in Medicine and the W.A. (Monty) Moncrief Distinguished Chair in Cholesterol and Arteriosclerosis Research. Dr. Goldstein, a Regental Professor, holds the Julie and Louis A. Beecherl, Jr. Distinguished Chair in Biomedical Research and the Paul J. Thomas Chair in Medicine. Dr. Hobbs holds the Dallas Heart Ball Chair in Cardiology Research and is a member of the Harold C. Simmons Comprehensive Cancer Center. Dr. Cohen holds the C. Vincent Prothro Distinguished Chair in Human Nutrition Research.

This study was funded by Merck Sharp & Dohme, a subsidiary of Merck.

Dr. Navar received consulting fees from Merck for part of the work on this study. She also received fees for other consulting work from Merck and from other pharmaceutical companies that make lipid-lowering drugs (as disclosed in the study).

About UT Southwestern Medical Center    

UT Southwestern, one of the nation’s premier academic medical centers, integrates pioneering biomedical research with exceptional clinical care and education. The institution’s faculty members have received six Nobel Prizes and include 24 members of the National Academy of Sciences, 25 members of the National Academy of Medicine, and 13 Howard Hughes Medical Institute Investigators. The full-time faculty of more than 3,300 is responsible for groundbreaking medical advances and is committed to translating science-driven research quickly to new clinical treatments. UT Southwestern physicians in more than 80 specialties care for more than 143,000 hospitalized patients, attend to more than 470,000 emergency room cases, and oversee nearly 5.3 million outpatient visits a year.

]]>
https://www.utsouthwestern.edu/newsroom/articles/year-2026/feb-experimental-pill-bad-cholesterol.html Wed, 04 Feb 2026 16:27:00 -0600
<![CDATA[Study identifies key protein regulating cholesterol release]]> apolipoprotein B a gene involved in the formation of lipoproteins
UT Southwestern researchers discovered that the HELZ2 protein regulates apolipoprotein B (APOB), a gene essential for forming lipoproteins that transport cholesterol and fat through the blood. In these images, aortic root sections from mice lacking the LDL receptor (LDLR) and carrying the HELZ2 mutation (right) show reduced atherosclerotic plaque (red) compared with LDLR-deficient controls (left).

DALLAS – Feb. 03, 2026 – Two UT Southwestern Medical Center researchers have identified a protein that plays a key role in controlling the liver’s release of cholesterol-carrying lipoproteins into the bloodstream, a discovery that could lead to new treatments for atherosclerotic heart disease and fatty liver disease.

The study, published in the American Heart Association journal Circulation, found that the protein, called HELZ2, regulates apolipoprotein B (APOB), a gene essential for the formation of apoB proteins and, ultimately, lipoproteins, the particles that transport cholesterol and fat through the blood.

“These particles are a major driver of plaque buildup in the arteries,” said senior author Zhao Zhang, Ph.D., Assistant Professor in UT Southwestern’s Center for the Genetics of Host Defense and of Internal Medicine. “What we found is that HELZ2 acts as a powerful control point for how many cholesterol-carrying particles ultimately enter the bloodstream.”

The researchers found that HELZ2 shortens the lifespan of APOB messenger RNA (mRNA) – the molecule that carries instructions from genes to make proteins – inside liver cells. When HELZ2 activity increases, less apoB protein is made, which in turn reduces the number of cholesterol-carrying particles released into the blood.

Zhao Zhang, Ph.D. and Yiao Jiang, Ph.D.
Zhao Zhang, Ph.D., (left) Assistant Professor in UT Southwestern’s Center for the Genetics of Host Defense and of Internal Medicine, and Yiao Jiang, Ph.D., postdoctoral researcher in the Zhang Lab, collaborated on the study.

“Most previous research focused on what happens to apoB after it’s already made,” said Yiao Jiang, Ph.D., a postdoctoral researcher in the Zhang Lab and study co-author. “What surprised us is that HELZ2 acts much earlier, by controlling how long the apoB ‘message’ survives before the protein is even produced.”

The team used a large-scale genetic screen originally developed by Nobel Laureate Bruce Beutler, M.D., Director of the Center for the Genetics of Host Defense and Professor of Immunology and Internal Medicine at UT Southwestern. Focusing on unusual levels of liver fat accumulation in mice, the scientists identified a gain-of-function mutation in HELZ2, which made it more active, reducing the stability of APOB mRNA within the liver.

Mice with this mutation produced fewer lipoproteins, including LDL (low-density lipoprotein) cholesterol and triglycerides, circulating in their blood. As a result, they were more protected from atherosclerosis, even though fat accumulated in their livers – a pattern that highlights the tradeoff between blood cholesterol levels and liver fat storage. Mice without the mutation showed the opposite pattern.

“We can think of HELZ2 as a kind of dial between the liver and the bloodstream,” Dr. Zhang said. “Turning it up lowers cholesterol in the blood but increases liver fat. Turning it down does the reverse. That balance makes HELZ2 especially interesting as a potential therapeutic target.” 

Statins are currently the drugs most commonly used to reduce cholesterol and lower the risk of heart disease. With further research, the investigators say, targeting HELZ2 could one day offer a different approach to reducing harmful lipoproteins. At the same time, carefully modulating HELZ2 activity could open new avenues for treating fatty liver disease.  

“The idea that we can control apoB at the RNA level represents a major shift in how we think about cholesterol regulation,” Dr. Zhang said. “It gives us a new molecular lever – and potentially a new set of tools – for tackling these conditions.”

Dr. Beutler, a Regental Professor, shared the 2011 Nobel Prize in Physiology or Medicine for his discovery of an important family of receptors found on immune cells. He holds the Raymond and Ellen Willie Distinguished Chair in Cancer Research, in Honor of Laverne and Raymond Willie, Sr. Dr. Beutler is a member of the Harold C. Simmons Comprehensive Cancer Center

This research was supported by funding from the National Institute of Diabetes and Digestive and Kidney Diseases of the National Institutes of Health (R00DK115766 and R01DK130959).

About UT Southwestern Medical Center   

UT Southwestern, one of the nation’s premier academic medical centers, integrates pioneering biomedical research with exceptional clinical care and education. The institution’s faculty members have received six Nobel Prizes and include 24 members of the National Academy of Sciences, 25 members of the National Academy of Medicine, and 13 Howard Hughes Medical Institute Investigators. The full-time faculty of more than 3,300 is responsible for groundbreaking medical advances and is committed to translating science-driven research quickly to new clinical treatments. UT Southwestern physicians in more than 80 specialties care for more than 143,000 hospitalized patients, attend to more than 470,000 emergency room cases, and oversee nearly 5.3 million outpatient visits a year.

]]>
https://www.utsouthwestern.edu/newsroom/articles/year-2026/feb-key-protein-cholesterol-release.html Tue, 03 Feb 2026 08:15:00 -0600
<![CDATA[UTSW researchers boost the power of CAR T cells to fight cancer]]> Scientist experimenting with cells in laboratory
Researchers at UT Southwestern are studying ways to help CAR T cells resist exhaustion and improve their effectiveness in fighting cancer. (Photo credit: Getty Images)

DALLAS – Jan. 22, 2026 – UT Southwestern Medical Center researchers have discovered that increasing the levels of a protein called BACH2 makes engineered cancer-fighting immune cells behave more like stem cells, improving their therapeutic effectiveness. The findings, published in Nature Immunology, suggest new strategies for improving the efficacy of these immune cells, known as chimeric antigen receptor (CAR) T cells.

“Using a mouse model of solid cancer, we found that programming CAR T cells to acquire stem-like properties during manufacturing significantly enhances their antitumor activity. This fine-tuning of CAR T cells may represent a powerful strategy to overcome key barriers in solid tumor immunotherapy,” said Tuoqi Wu, Ph.D., who co-led the study with Chen Yao, Ph.D. Both researchers are Assistant Professors of Immunology and in the Harold C. Simmons Comprehensive Cancer Center at UT Southwestern.

Tuoqi Wu, Ph.D.
Tuoqi Wu, Ph.D., is Assistant Professor of Immunology and in the Harold C. Simmons Comprehensive Cancer Center at UT Southwestern.

CAR T cells have been approved by the Food and Drug Administration as an anticancer therapy since 2017. These cells are created by collecting a cancer patient’s own T cells, then genetically engineering them to fight that patient’s specific cancer. Although CAR T cells have shown enormous promise in fighting blood cancers, such as leukemias and lymphomas, they offer long-lasting remission in only a subset of cases. Additionally, CAR T cells are largely ineffective at fighting solid tumors.

This inefficacy mostly stems from a phenomenon known as exhaustion, Dr. Wu explained. Constant stimulation of CAR T cells by antigens on cancer cell surfaces eventually leaves them unable to fight cancer cells, proliferate, or respond to immune checkpoint-inhibiting drugs. They also show markers of a dysregulated metabolism and ultimately die. Understanding why exhaustion develops will be key to making CAR T cells a more effective therapy for all cancers.

Several years ago, Drs. Wu and Yao found an important clue in another study they performed examining T-cell exhaustion in chronic viral infections. There, T cells had a range of propensities to become exhausted. But those least likely to become exhausted had properties more akin to stem cells. Those with higher “stemness” produced more of a protein known as BACH2.

Chen Yao, Ph.D.
Chen Yao, Ph.D., is Assistant Professor of Immunology and in the Harold C. Simmons Comprehensive Cancer Center at UT Southwestern.

To see if the same was true in CAR T cells, the researchers developed these cells from mice. Much like in the previous study, cells with higher expression of the gene for BACH2 also maintained more stem-like qualities than those with lower expression. Cells with more BACH2 were also less likely to become exhausted and fought off leukemia better than those with less BACH2. The researchers found similar results when they looked at BACH2 expression in human CAR T-cell samples.

Capitalizing on these findings, the researchers generated mouse CAR T cells that produced varying levels of BACH2. CAR T cells that produced the highest levels of BACH2 remained the most stem-like and were the best at resisting exhaustion while growing in petri dishes. Using a different strategy, the researchers temporarily boosted the amount of BACH2 that CAR T cells produced during their manufacture, then infused them into a mouse model of neuroblastoma, a type of solid malignant tumor that develops in nerve cell precursors. This tweak significantly improved the cells’ cancer-controlling ability compared with typical CAR T cells, restricting the tumors’ growth.

Drs. Wu and Yao said their study suggests that increasing BACH2 production in CAR T cells could offer a viable technique to help them resist exhaustion and fight both blood and solid tumor cancers. They hope to eventually test this strategy in clinical trials.

Dr. Wu is an Investigator in the Peter O’Donnell Jr. Brain Institute at UT Southwestern.

Other UTSW researchers who contributed to this study are first authors Taidou Hu, Ph.D., a postdoctoral researcher, Ziang Zhu, Ph.D., and Ying Luo, Ph.D., a postdoctoral researcher; Jonathan Hoar, M.S., and Sejal S. Shinde, M.S., research assistants; and Safuwra Wizzard, B.S., B.A., and Kiddist Yihunie, M.S., graduate student researchers.

This study was funded by grants from the National Institutes of Health (AI158294, AG083398, AG056524, and AI154450); the Clinic and Laboratory Integration Program and the Lloyd J. Old STAR Program from the Cancer Research Institute; the V Scholar Award from the V Foundation; the Grant for Junior Faculty from the American Federation for Aging Research (AFAR); the Hevolution/AFAR New Investigator Award in Aging Biology and Geroscience Research; the Cancer Prevention and Research Institute of Texas (RR210035 and RP250282); the Department of Defense (HT94252310801); and a National Cancer Institute (NCI) Cancer Center Support Grant (P30CA142543).

About UT Southwestern Medical Center    

UT Southwestern, one of the nation’s premier academic medical centers, integrates pioneering biomedical research with exceptional clinical care and education. The institution’s faculty members have received six Nobel Prizes and include 24 members of the National Academy of Sciences, 25 members of the National Academy of Medicine, and 13 Howard Hughes Medical Institute Investigators. The full-time faculty of more than 3,200 is responsible for groundbreaking medical advances and is committed to translating science-driven research quickly to new clinical treatments. UT Southwestern physicians provide care in more than 80 specialties to more than 140,000 hospitalized patients, more than 360,000 emergency room cases, and oversee nearly 5.1 million outpatient visits a year.

]]>
https://www.utsouthwestern.edu/newsroom/articles/year-2026/jan-car-t-cell-to-fight-cancer.html Thu, 22 Jan 2026 10:05:00 -0600
<![CDATA[UT Southwestern biochemist Zhijian ‘James’ Chen to receive 2026 Japan Prize]]>

DALLAS – Jan. 20, 2026 – Zhijian “James” Chen, Ph.D., Professor of Molecular Biology at UT Southwestern Medical Center and one of the world’s top researchers on how the body’s immune system protects against threats such as bacteria and viruses, has been awarded the 2026 Japan Prize in Life Sciences – one of the highest international honors for science and technology.

The award recognizes Dr. Chen’s discoveries related to the innate immune system including cyclic GMP-AMP synthase, or cGAS, which acts as the body’s burglar alarm to trigger defense from invading pathogens. Dr. Chen shares this year’s Japan Prize with Shizuo Akira, M.D., Ph.D., Professor at Osaka University.

Zhijian
Zhijian "James" Chen, Ph.D., is Professor of Molecular Biology and Director of the Center for Inflammation Research at UT Southwestern Medical Center. He holds the George L. MacGregor Distinguished Chair in Biomedical Science.

“I am extremely honored and humbled to be selected to receive the Japan Prize,” said Dr. Chen, who is a Howard Hughes Medical Institute Investigator and Director of the Center for Inflammation Research at UT Southwestern. “This recognition validates the collaborative work of scientists at UT Southwestern and worldwide to expand our understanding of human disease. I am grateful to the students, postdoctoral fellows, and staff members in my lab for their hard work and to the leadership at UT Southwestern for their unwavering support.”

“Dr. Chen’s breakthroughs have significantly advanced the field of immunology, paving the way for new approaches to the development of more effective vaccines and novel therapies for a broad range of diseases, including cancer and autoimmune disorders,” said Daniel K. Podolsky, M.D., President of UT Southwestern. “The entire UT Southwestern community takes great pride in seeing the impact of Dr. Chen’s work recognized by this very special high honor.”

The Japan Prize will be presented in Tokyo on April 14, during Japan Prize Week, which includes award ceremonies attended by the Emperor and Empress of Japan and commemorative lectures by the laureates.

Scientist Snapshot

  • Zhijian “James” Chen, Ph.D.
  • Born: Fujian Province, China
  • Education: Fujian Normal University; State University of New York at Buffalo
  • Joined UTSW: In 1997, when he was recruited to the new Department of Molecular Biology
  • Research focus: Innate immunity
  • Key discovery: The DNA-sensing enzyme cGAS, which acts as a “burglar alarm” to trigger the body’s immune system when it detects a pathogen
  • Fast fact: Dr. Chen identified the first mitochondrial protein known to be involved in immune defense against microbial infections in 2005. He named it MAVS (mitochondrial antiviral signaling) in honor of his favorite basketball team, the Dallas Mavericks.

Established in 1983, the Japan Prize is awarded annually to scientists and researchers from around the world, recognizing individuals who have contributed significantly to peace and prosperity through original and outstanding achievements that have greatly advanced the progress of science and technology.

Dr. Chen’s discoveries have elucidated the process by which the human body fights off invasive viruses, bacteria, and other microbes. In 2012, his laboratory identified cGAS, which triggers the innate immune system when it detects foreign DNA inside a cell. Earlier, he identified the first mitochondrial protein known to be involved in immunity against infections, which he dubbed MAVS, describing its function (mitochondrial antiviral signaling) and honoring his favorite basketball team, the Dallas Mavericks.

His research has been recognized with some of the most esteemed awards in science, including the Paul Ehrlich and Ludwig Darmstaedter Prize (2025), the Albert Lasker Basic Medical Research Award (2024), the Louisa Gross Horwitz Prize (2023), and the Breakthrough Prize in Life Sciences (2019), among others.

Dr. Chen is a member of both the National Academy of Sciences and the National Academy of Medicine and a Fellow of the Royal Society of the United Kingdom. At UTSW, he is a member of the Center for the Genetics of Host Defense as well as the Harold C. Simmons Comprehensive Cancer Center. He holds the George L. MacGregor Distinguished Chair in Biomedical Science.

About UT Southwestern Medical Center

UT Southwestern, one of the nation’s premier academic medical centers, integrates pioneering biomedical research with exceptional clinical care and education. The institution’s faculty members have received six Nobel Prizes and include 24 members of the National Academy of Sciences, 25 members of the National Academy of Medicine, and 13 Howard Hughes Medical Institute Investigators. The full-time faculty of more than 3,200 is responsible for groundbreaking medical advances and is committed to translating science-driven research quickly to new clinical treatments. UT Southwestern physicians provide care in more than 80 specialties to more than 140,000 hospitalized patients, more than 360,000 emergency room cases, and oversee nearly 5.1 million outpatient visits a year.

]]>
https://www.utsouthwestern.edu/newsroom/articles/year-2026/jan-chen-japan-prize.html Tue, 20 Jan 2026 10:37:00 -0600
<![CDATA[Most patients support AI to help read mammograms with doctor oversight]]> Female doctor talking to patient during Mammography test in examination room
(Photo Credit: Getty Images)

DALLAS – Jan. 20, 2026 – Artificial intelligence (AI) has become a go-to tool in health care, helping clinicians such as radiologists make diagnoses and personalize care. But what do patients think about this?  

In a recent study, UT Southwestern Medical Center researchers found that most patients support the use of AI to help interpret mammograms as long as radiologists provide oversight in the imaging analysis, though perceptions varied among patient populations. The study, published in Breast Cancer Research and Treatment, highlights the importance of clear, patient-centered communication as clinicians incorporate AI-based tools into mammography interpretation.

Basak Dogan, M.D.
Basak Dogan, M.D., is Professor of Radiology, Director of Breast Imaging Research, and a member of the Harold C. Simmons Comprehensive Cancer Center at UT Southwestern. She is a Eugene P. Frenkel, M.D. Scholar in Clinical Medicine.

“This is the first study to measure patient perspectives on AI in mammography in different hospital settings,” said corresponding author Basak Dogan, M.D., Professor of Radiology, Director of Breast Imaging Research, and member of the Harold C. Simmons Comprehensive Cancer Center at UT Southwestern. “It reveals how demographic and socioeconomic factors shape acceptance, trust, and concerns about AI integration in breast cancer screening.”

The researchers surveyed 924 patients receiving mammograms at UT Southwestern’s William P. Clements Jr. University Hospital and Parkland Health, a public safety-net health system for the uninsured that serves as the primary teaching hospital for UTSW. Overall, 71.5% of participants supported the use of AI in mammogram interpretation, but only 6.6% supported AI as the sole reader. Nearly 60% said they would prefer to wait hours or even days for a radiologist’s interpretation rather than rely on immediate AI results, reinforcing the importance patients place on human oversight and provider-patient interaction.

Patient preferences were largely consistent across care settings. Although initial analyses showed lower approval of AI among individuals at Parkland Health, those differences disappeared after adjusting for demographic factors such as age, education, income, and race.

The survey also revealed strong expectations around transparency. Across both sites, 73.8% of participants indicated they would want to be informed or provide consent before AI is used to help read mammograms. Concerns about data privacy, bias, accuracy, transparency, and impacts on the doctor-patient relationship were common, with more than 80% of respondents reporting worry about at least one of these issues.

Among all participants, 84% wanted a radiologist to review an AI-identified abnormality, while only 44% wanted AI to review a radiologist-identified abnormality.

Non-Hispanic Black participants were less likely to accept AI and more likely to express privacy concerns, highlighting the need for culturally sensitive approaches as AI tools are introduced into clinical care, the researchers said. In addition, they stressed transparent communication and regulatory oversight as keys to helping build patient trust and acceptance of AI.

Emily Knippa, M.D.
Emily Knippa, M.D., is Associate Professor of Radiology and a member of the Breast Imaging Division at UT Southwestern.

“As AI is increasingly used in breast imaging interpretation, attention should be paid to educate patients about the role of AI, obtain consent for its use, and provide safeguards to protect data privacy,” said study leader Emily Knippa, M.D., Associate Professor of Radiology and a member of the Breast Imaging Division.

AI was integrated into clinical mammography interpretation at UT Southwestern in early 2023, shortly before the study began. The technology is embedded directly within the Picture Archiving and Communication System (PACS), where AI outputs appear alongside mammogram images during routine reads by radiologists. Patients receive general consent language indicating that AI may be used to assist radiologists in interpreting images.

“This was not an entirely new process for us, as we had previously used computer-aided detection (CADx) systems, which functioned in a similar way by overlaying prompts on the images,” Dr. Dogan said. “Because of that prior experience, the transition to AI was relatively seamless. 

“The key difference between CADx and AI is that CADx relied on rule-based algorithms that often produced a high number of false positives, whereas AI systems are trained on large datasets and use deep learning to provide more nuanced, case-specific outputs. This means AI can highlight suspicious regions with greater accuracy and consistency, reducing unnecessary callbacks and improving radiologist confidence,” she said.

The study builds on earlier research by Dr. Dogan’s team surveying patients on their views of integrating AI into mammography.

Other UTSW researchers who contributed to this study are co-first author Jenifer Chisom Ogu, M.D., UTSW Medical School graduate and UT Austin radiology resident interning at JPS Health Network in Fort Worth; co-first author B. Bersu Ozcan, M.D., Radiology research fellow; and Yin Xi, Ph.D., Associate Professor of Radiology.

Dr. Dogan is a Eugene P. Frenkel, M.D. Scholar in Clinical Medicine. The study was funded by her Eugene P. Frenkel, M.D., Scholar in Clinical Medicine Award from the Simmons Cancer Center.

About UT Southwestern Medical Center

UT Southwestern, one of the nation’s premier academic medical centers, integrates pioneering biomedical research with exceptional clinical care and education. The institution’s faculty members have received six Nobel Prizes and include 24 members of the National Academy of Sciences, 25 members of the National Academy of Medicine, and 13 Howard Hughes Medical Institute Investigators. The full-time faculty of more than 3,200 is responsible for groundbreaking medical advances and is committed to translating science-driven research quickly to new clinical treatments. UT Southwestern physicians provide care in more than 80 specialties to more than 140,000 hospitalized patients, more than 360,000 emergency room cases, and oversee nearly 5.1 million outpatient visits a year.

About Parkland Health

Parkland Health is one of the largest public hospital systems in the country. Premier services at the state-of-the-art Parkland Memorial Hospital include the Level I Rees-Jones Trauma Center, the only burn center in North Texas verified by the American Burn Association for adult and pediatric patients, and a Level III Neonatal Intensive Care Unit. The system also includes two on-campus outpatient clinics – the Ron J. Anderson, MD Clinic and the Moody Outpatient Center, as well as more than 30 community-based clinics and numerous outreach and education programs. By cultivating its diversity, inclusion, and health equity efforts, Parkland enriches the health and wellness of the communities it serves. For more information, visit parklandhealth.org.

]]>
https://www.utsouthwestern.edu/newsroom/articles/year-2026/jan-ai-mammograms.html Tue, 20 Jan 2026 09:02:00 -0600
<![CDATA[UTSW first in Texas to offer novel treatment for rare eye cancer that spreads to the liver]]> Hepzato Kit treats cance
Hepzato Kit treats cancer with veno-venous bypass and infusions of high doses of the drug melphalan to the whole liver. Specialized balloon catheters and an extracorporeal filter system are used to contain the drug within the liver and its blood vessels so that systemic side effects are minimized. (Credit: Delcath Systems)

DALLAS – Jan. 16, 2026 – A team at UT Southwestern Medical Center this week became the first in Texas and neighboring states to successfully perform a novel procedure to deliver whole-liver chemotherapy to treat metastatic uveal melanoma, a rare and deadly eye cancer.

Adrienne Shannon, M.D.
Adrienne Shannon, M.D., is Assistant Professor of Surgery and a surgical oncologist at UT Southwestern.

Tumors spread to the liver in up to 90% of metastatic uveal melanoma cases. Approved for use in adult patients by the Food and Drug Administration in 2023, Hepzato Kit involves a percutaneous hepatic perfusion (PHP) delivery method utilizing a series of specialized balloon catheters and filtration units to isolate the liver blood flow and deliver high doses of the chemotherapy drug melphalan via the hepatic artery to the entire liver.

Adrienne Shannon, M.D., Assistant Professor of Surgery and a surgical oncologist at UT Southwestern, led the team during Thursday’s procedure to treat a 72-year-old man with multifocal hepatic tumors. Dr. Shannon previously participated in this procedure at Moffitt Cancer Center in Tampa, Florida, before she joined the faculty at UT Southwestern in 2025.

Hepzato is only available on a selective basis under a risk evaluation and mitigation strategy (REMS), and fewer than three dozen medical centers nationwide currently offer the therapy. Dr. Shannon worked with a highly trained team of UT Southwestern staff and fellow faculty members to deliver the therapy. They include interventional radiologists led by Sanjeeva Kalva, M.D., Patrick Sutphin, M.D., Ph.D., and Seung Kim, M.D., M.B.A.; anesthesiologists led by Steven Zheng, M.D.; and perfusionists. Dr. Kalva is a member of the Harold C. Simmons Comprehensive Cancer Center at UT Southwestern.

Sanjay Chandrasekaran, M.D.
Sanjay Chandrasekaran, M.D., is Assistant Professor of Internal Medicine in the Division of Hematology and Oncology and the physician lead for the Multi-Histology and Precision Oncology Program (MPOP) Disease Oriented Team in the Harold C. Simmons Comprehensive Cancer Center. He is a Eugene P. Frenkel, M.D. Scholar in Clinical Medicine.

“Hepzato is the only FDA-approved treatment that treats the whole organ and has been proved to shrink tumors, translating into more effective disease control and potential survival benefit,” said Sanjay Chandrasekaran, M.D., Assistant Professor of Internal Medicine in the Division of Hematology and Oncology and the physician lead for the Multi-Histology and Precision Oncology Program (MPOP) Disease Oriented Team in the Simmons Cancer Center. He is also a Eugene P. Frenkel, M.D. Scholar in Clinical Medicine.

Dr. Chandrasekaran’s practice focuses on treating patients with uveal melanoma, melanoma, and other skin cancers.

“Having the ability to offer Hepzato to our patients is so important. Treating this deadly disease is about creating opportunity – the opportunity for patients to have access to a wide scope of options, including systemic therapies, clinical trials, and liver-directed treatments,” said Dr. Chandrasekaran, who has received institutional funding to grow the uveal melanoma program at UT Southwestern.

Uveal melanoma is a rare cancer that develops in ocular cells that create melanin. It accounts for about 5% of U.S. melanoma cases. About 50% of uveal melanoma patients are at risk for metastatic disease, sometimes years after successful treatment of the primary eye tumor. 

Melphalan, a chemotherapy drug that targets tumor cells by binding to and cross-linking DNA strands and halting their replication, is infused directly into the liver’s main artery. The proprietary drug/device from Delcath Systems Inc. relies on veno-venous bypass and an extracorporeal filter system to effectively contain the drug within the liver and its blood vessels, allowing high doses to be delivered with limited systemic side effects.

A multicenter phase three study (the FOCUS trial) included 91 individuals who received Hepzato. It showed that 36.3% of patients experienced shrinkage of their tumors, including 7.7% who experienced a complete response or disappearance of liver lesions. The majority of tumor responses were seen after the first two cycles of therapy. The FOCUS study also found an overall survival rate of 80% after one year, and 65% of patients were progression-free at six months.

J. William Harbour, M.D.
J. William Harbour, M.D., is Chair and Professor of Ophthalmology and a member of the Cellular Networks in Cancer Research Program of the Harold C. Simmons Comprehensive Cancer Center. He holds the David Bruton, Jr. Chair in Ophthalmology.

During the treatment, an interventional radiologist uses fluoroscopic imaging to place a double-balloon catheter in the inferior vena cava, isolating the liver’s vasculature. After the patient is transitioned to veno-venous bypass, a high dose of melphalan is injected into the hepatic artery to perfuse the liver for 30 minutes. It is then diverted to a filtration system designed to extract the drug from the patient’s system before blood is returned to the patient’s circulating blood volume. Afterward, the patient is typically monitored for up to 24 hours for potential complications, such as bleeding risks or low blood counts. Most patients are able to resume their normal activities within 48 hours. The therapy can be repeated up to six times every six to eight weeks. 

“This approach will improve our patient’s progression-free survival, and it is a far more effective option for him than other liver-directed methods that only treat one segment of the liver at a time,” Dr. Shannon said.

After a detailed multidisciplinary review, this patient was determined to be an excellent candidate for Hepzato based on his physical fitness, adequate liver function, and tumor size with less than 50% of liver involvement by tumor. Through the MPOP clinical trials team, the Simmons Cancer Center is planning to offer Hepzato to select patients with metastatic breast and colorectal cancers in the near future.

“This achievement exemplifies the strength of UT Southwestern as a premier institution for interdisciplinary patient care, discovery-driven research, and the development of breakthrough therapies,” said J. William Harbour, M.D., Chair and Professor of Ophthalmology and a member of the Cellular Networks in Cancer Research Program of the Simmons Cancer Center. “It’s an exciting moment for our expanding ocular oncology program as we rapidly establish UT Southwestern as a national destination for patients with eye cancers.”

Dr. Harbour developed prognostic tests that are now standard of care for ocular melanoma and part of the National Comprehensive Cancer Network (NCCN) guidelines for prognostication and risk stratification for this cancer.

Dr. Harbour holds the David Bruton, Jr. Chair in Ophthalmology.

Drs. Shannon and Chandrasekaran receive financial compensation from Delcath Systems Inc.

Nonurgent inquiries related to uveal melanoma at UT Southwestern can be directed to uvealmelanoma@utsouthwestern.edu 

Locator Map
Hepzato is currently only available at select medical centers across the country under a risk evaluation and mitigation strategy (REMS). UT Southwestern is the first to offer this treatment in Texas and the surrounding region.

About UT Southwestern Medical Center

UT Southwestern, one of the nation’s premier academic medical centers, integrates pioneering biomedical research with exceptional clinical care and education. The institution’s faculty members have received six Nobel Prizes and include 24 members of the National Academy of Sciences, 25 members of the National Academy of Medicine, and 13 Howard Hughes Medical Institute Investigators. The full-time faculty of more than 3,200 is responsible for groundbreaking medical advances and is committed to translating science-driven research quickly to new clinical treatments. UT Southwestern physicians provide care in more than 80 specialties to more than 140,000 hospitalized patients, more than 360,000 emergency room cases, and oversee nearly 5.1 million outpatient visits a year.

]]>
https://www.utsouthwestern.edu/newsroom/articles/year-2026/jan-novel-treatment-rare-eye-cancer.html Fri, 16 Jan 2026 14:13:00 -0600
<![CDATA[Study reveals molecular ‘switch’ that turns on inflammation in obesity]]> Activated human macrophage, coloured scanning electron micrograph (SEM).
This image shows a macrophage, a type of white blood cell in the innate immune system that digests pathogens and dead cells while also playing key roles in tissue repair, inflammation, and initiating adaptive immune responses. UTSW researchers who found a molecular pathway linking obesity to widespread inflammation compared macrophages from lean and obese human volunteers, as well as from mice fed normal and high-fat diets. (Photo Credit: Getty Images)

DALLAS – Jan. 15, 2026 – A team led by UT Southwestern Medical Center researchers has uncovered a molecular pathway that links obesity to widespread inflammation, providing long-sought insight into why obesity increases the risk of Type 2 diabetes, cardiovascular disease, fatty liver disease, and certain cancers. The findings, published in Science, identify a molecular “switch” that triggers this inflammation and point to potential new therapeutic targets.

“It’s been known for a long time that obesity causes uncontrolled inflammation, but no one knew the mechanism behind it. Our study provides novel insights about why this inflammation occurs and how we might be able to stop it,” said Zhenyu Zhong, Ph.D., Assistant Professor of Immunology and member of the Harold C. Simmons Comprehensive Cancer Center at UT Southwestern. Dr. Zhong co-led the study with Danhui Liu, Ph.D., a former postdoctoral researcher in the Zhong Lab.

Zhenyu Zhong, Ph.D.
Zhenyu Zhong, Ph.D., is Assistant Professor of Immunology and a member of the Harold C. Simmons Comprehensive Cancer Center at UT Southwestern.

Nearly 900 million adults worldwide – about 1 in 8 – live with obesity, a condition defined by a body mass index of at least 30. Uncontrolled, low-grade inflammation is a hallmark of obesity, contributing to numerous chronic conditions.

Such “sterile” inflammation – occurring in the absence of bacterial or viral infection – is largely driven by an inflammasome known as NOD-like receptor pyrin domain-containing 3 (NLRP3), a multiprotein complex found in immune cells known as macrophages. NLRP3 converts molecules called inflammatory cytokines from immature versions to mature ones that stimulate inflammation when macrophages excrete them. But whether and how NLRP3 activity is influenced by obesity has been largely unknown.

To investigate this, Dr. Zhong and his colleagues compared macrophages isolated from lean and obese human volunteers, as well as from mice fed normal and high-fat diets. In both the macrophages from patients with obesity and mice fed a high-fat diet, NLRP3 was hyperactivated. The researchers also made a surprising observation: In both sets of cells, there was an abnormally large amount of DNA in mitochondria, organelles that serve as power generators in cells and have their own genetic material.

Much of this extra mitochondrial DNA (mtDNA) was oxidized, a damaged form often produced when cells are under stress. When the researchers used a chemical that blocked the oxidized mitochondrial DNA from attaching to the NLRP3 inflammasome, its hyperactivity ceased.

To better understand why macrophages from obese patients overproduced the oxidized mitochondrial DNA, the researchers looked for clues in the cells’ cytoplasm. They found an excess of deoxynucleotides, the building blocks that make up DNA. Further investigation showed that an enzyme (SAMHD1) responsible for degrading extra nucleotides had been phosphorylated – a chemical modification that turned off this enzyme.

Deleting the gene for SAMHD1 in mice – and even zebrafish, a species that shares 70% of its genes with humans – prompted the same phenomenon. In these animals, the researchers found an excess of deoxynucleotides in the cytoplasm of macrophages, an increase in oxidized mitochondrial DNA, and hyperactive NLRP3 inflammasomes. These circumstances caused many of the mice to develop Type 2 diabetes and fatty liver disease.

This work builds on Dr. Zhong’s previous study, published in Nature, that identified the mitochondrial enzyme CMPK2 as essential for mtDNA neosynthesis and NLRP3 inflammasome activation in healthy, lean humans and mice. The new findings reveal how obesity bypasses this pathway, rewiring nucleotide metabolism to sustain inflammation.

Dr. Zhong said the new findings suggest inflammation in obesity occurs through a molecular cascade kicked off by phosphorylation of SAMHD1. Learning why this phosphorylation happens will be a topic for future studies, he said. In the meantime, Dr. Zhong said, finding ways to remove this phosphorylation, prevent deoxynucleotides’ transport to mitochondria, or block the interaction between oxidized mitochondrial DNA and NLRP3 could reduce inflammation, and consequently, the occurrence of inflammation-related diseases in obesity.

A full list of contributors can be found in the published study.

This research was funded by grants from the Cancer Research and Prevention Institute of Texas (RR180014, RP230261, RP200197, and RP240183), the National Institutes of Health (R35GM142654, K22AI135074, R01DK133283, R01AI151708, R01AR075005, R35GM136316, and R35GM142689), and UT Southwestern Circle of Friends Awards.

About UT Southwestern Medical Center    

UT  Southwestern, one of the nation’s premier academic medical centers, integrates pioneering biomedical research with exceptional clinical care and education. The institution’s faculty members have received six Nobel Prizes and include 24 members of the National Academy of Sciences, 25 members of the National Academy of Medicine, and 13 Howard Hughes Medical Institute Investigators. The full-time faculty of more than 3,200 is responsible for groundbreaking medical advances and is committed to translating science-driven research quickly to new clinical treatments. UT Southwestern physicians provide care in more than 80 specialties to more than 140,000 hospitalized patients, more than 360,000 emergency room cases, and oversee nearly 5.1 million outpatient visits a year.

]]>
https://www.utsouthwestern.edu/newsroom/articles/year-2026/jan-molecular-switch-inflammation-obesity.html Thu, 15 Jan 2026 13:43:00 -0600
<![CDATA[Simmons Cancer Center earns exceptional rating in its renewal as an NCI-designated Comprehensive Cancer Center]]>
The Harold C. Simmons Comprehensive Cancer Center combines advanced research and scientific discovery with multidisciplinary patient care in its fight against cancer.

DALLAS – Jan. 14, 2026 – The Harold C. Simmons Comprehensive Cancer Center at UT Southwestern earned an exemplary merit score from the Center for Scientific Review as part of the renewal of its comprehensive designation by the National Cancer Institute (NCI).

Simmons Cancer Center is one of 57 NCI-designated Comprehensive Cancer Centers in the U.S. and the only one in North Texas. The comprehensive designation highlights the center’s leading role in fighting cancer. It also marks the center’s inclusion in a nationwide infrastructure to advance cancer research and discovery and multidisciplinary patient care by integrating laboratory, clinical, and population-based research as well as cancer education and training, and community outreach and engagement.

Carlos L. Arteaga, M.D.
Carlos L. Arteaga, M.D., is Director of the Simmons Cancer Center and Associate Dean of Oncology Programs at UT Southwestern Medical Center.

“We’re leading the way in cancer research, discovery, innovation, and multidisciplinary patient care as we strive to transform today’s scientific discoveries into tomorrow’s cures,” said Carlos L. Arteaga, M.D., Director of the Simmons Cancer Center and Associate Dean of Oncology Programs at UT Southwestern Medical Center.

The exceptional outcome of this highly rigorous review comes just months after UT Southwestern was ranked in the top 20 nationwide for cancer care by U.S. News and World Report for 2025-26.

Simmons Cancer Center is the NCI-designated Comprehensive Cancer Center for UT Southwestern and two affiliated health systems, Parkland Health and Children’s Health. It operates regional locations in Fort Worth, Richardson/Plano, and RedBird in southern Dallas. Some specialized cancer care is also available in Frisco, with expanded services planned to launch in 2027.

“We are committed to improving the outcomes for cancer patients in North Texas and beyond,” said Jason Fleming, M.D., Deputy Director for Clinical Affairs of the Simmons Cancer Center and Professor of Surgery at UT Southwestern. “Receiving an exceptional rating from the National Cancer Institute underscores UT Southwestern’s unwavering drive for excellence and reaffirms our dedication to scientific discovery, compassionate care, and education.”

Jason Fleming, M.D.
Jason Fleming, M.D., is Deputy Director for Clinical Affairs of the Simmons Cancer Center and Professor of Surgery at UT Southwestern.

Simmons Cancer Center has grown exponentially since its founding in 1991. It first became an NCI-designated Comprehensive Cancer Center in 2015 and was redesignated as a Comprehensive Cancer Center in 2021. In 2024, the center saw 10,319 new cancer cases, recorded 272,967 outpatient or treatment visits, and received over $120 million in cancer research-focused funding. During the last five years, the center performed nearly 80,000 cancer screenings in over 100 counties in Texas and almost 23,000 diagnostic procedures.

Its 288 scientists and clinical investigators are spread across 37 academic departments at UT Southwestern, an academic medical center known worldwide for its research, medical education, and clinical training.

Since 2020, Simmons Cancer Center members have published more than 3,600 cancer-relevant manuscripts, many of them in high-impact journals including Science, Cell, Nature, The New England Journal of Medicine, and the Journal of Clinical Oncology.

Simmons Cancer Center is home to NCI Specialized Programs of Research Excellence (SPOREs) in kidney cancer, lung cancer, and, most recently, liver cancer. The aim of these SPOREs is to translate basic science discoveries into better prevention and treatment strategies for patients who have those cancers or are at risk of them.

Through multidisciplinary disease-oriented teams, its clinical investigators and clinicians actively collaborate with five research programs in the center to provide cutting-edge precision therapies to each patient. Simmons Cancer Center also participates in more than 500 active clinical trials to deliver leading-edge care to patients. In 2024, the center enrolled a record number of almost 800 patients in therapeutic clinical trials.

“Patients coming to Simmons Cancer Center are not only going to receive excellent care but also have access to the latest innovations and clinical investigations that are going to give them a much better chance to be cured from cancer,” Dr. Arteaga said. “This is one of the big benefits of coming to a comprehensive cancer center designated by the National Cancer Institute.”

The center’s five research programs are Cellular Networks in Cancer, Chemistry and Cancer, Development and Cancer, Experimental Therapeutics, and Population Science and Cancer Control. They are designed to advance the understanding of cancer biology and translate that knowledge into novel approaches to prevent, diagnose, and treat cancer cases.

Dr. Arteaga holds the Annette Simmons Distinguished University Chair in Breast Cancer Research.

About UT Southwestern Medical Center    

UT Southwestern, one of the nation’s premier academic medical centers, integrates pioneering biomedical research with exceptional clinical care and education. The institution’s faculty members have received six Nobel Prizes and include 24 members of the National Academy of Sciences, 25 members of the National Academy of Medicine, and 13 Howard Hughes Medical Institute Investigators. The full-time faculty of more than 3,200 is responsible for groundbreaking medical advances and is committed to translating science-driven research quickly to new clinical treatments. UT Southwestern physicians provide care in more than 80 specialties to more than 140,000 hospitalized patients, more than 360,000 emergency room cases, and oversee nearly 5.1 million outpatient visits a year.

]]>
https://www.utsouthwestern.edu/newsroom/articles/year-2026/jan-simmons-cancer-center-renewal-comprehensive-cancer-center.html Wed, 14 Jan 2026 11:05:00 -0600
<![CDATA[UTSW receives ARPA-H award to create functioning artificial liver]]> Patient biopsy-derived liver organoids
Patient biopsy-derived liver organoids can serve as building blocks for biofabrication of a personalized, patient-specific whole liver. This image shows liver organoids generated from a patient liver biopsy with alcoholic liver disease. CD44 is shown in red marking liver organoids, and cell nuclei are shown in blue. (Photo credit: Sunil Shrestha, Ph.D., postdoctoral fellow, Rizwan Lab)

DALLAS – Jan. 12, 2026 – UT Southwestern Medical Center has received an award from the Advanced Research Projects Agency for Health (ARPA-H) to develop livers using patients’ own cells and an innovative three-dimensional (3D) printing approach. If successful, this project – known as Vascularized Immunocompetent Tissue as an Alternative Liver (VITAL) – could significantly reduce the gap between supply and demand for donor livers, negate the necessity of lifelong immunosuppression for liver transplant patients, and create artificial livers for in vitro drug testing and research. The project is under ARPA-H’s Personalized Regenerative Immunocompetent Nanotechnology Tissue (PRINT) program, which is led by ARPA-H Program Manager Ryan Spitler, Ph.D.

Muhammad Rizwan, Ph.D.
Muhammad Rizwan, Ph.D., Assistant Professor of Biomedical Engineering and Ophthalmology at UT Southwestern, is the project’s principal investigator.

“Over the last two decades, researchers have made remarkable progress toward the goal of creating lab-made organs, including innovations in biomaterials, stem cell differentiation, and bioprinting. UT Southwestern is an ideal environment to bring together the recent advances that have never been combined before,” said the project’s principal investigator, Muhammad Rizwan, Ph.D., Assistant Professor of Biomedical Engineering and Ophthalmology at UT Southwestern.

Each year, liver cirrhosis and chronic liver diseases cause about 50,000 deaths in the U.S. As of September 2024, nearly 10,000 people were on the waiting list for a donor liver, with wait times averaging about seven months, according to the Health Resources & Services Administration. Statistics show that up to 31% of patients die while waiting for a donor liver.

Researchers have attempted to narrow the gap between donor liver supply and demand in many ways, such as pursuing living donors or improving technology that keeps cadaver donor livers healthy for a longer time before transplant, said Madhukar Patel, M.D., M.B.A., Sc.M., Assistant Professor of Surgery at UTSW, Surgical Director of the Liver Transplantation Program, and a Dedman Family Scholar in Clinical Care. However, none of these approaches has significantly resolved the lack of sufficient donor livers. Finding a way to generate artificial livers that function as well as natural ones could offer a solution, he explained. Artificial livers may also address other issues inherent to organ transplants, such as the need for lifelong immunosuppression and the high cost of liver transplantation, which averages nearly $1 million.

Madhukar Patel, M.D., M.B.A., Sc.M.
Madhukar Patel, M.D., M.B.A., Sc.M., is Assistant Professor of Surgery at UT Southwestern, Surgical Director of the Liver Transplantation Program, and a Dedman Family Scholar in Clinical Care.

Toward that goal, ARPA-H recently awarded UTSW up to $25 million for VITAL. In this project, researchers across UTSW, including Drs. Rizwan and Patel, will work together to harvest cells from liver disease patients and facilitate their conversion into induced pluripotent stem cells (iPSCs), which can become any cell type in the body. Jun Wu, Ph.D., Associate Professor of Molecular Biology, whose lab specializes in working with iPSCs, will lead research to reprogram the patient cells into iPSCs and convert these cells into the various cell types that make up livers. The team will then combine these cells with a hydrogel “bioink” that can be used for 3D printing of functioning livers. These bioprinted livers will first be tested in small and large animal models and potentially within humans in about five years, Dr. Rizwan said. Collaborators from Pennsylvania State University, led by Ibrahim T. Ozbolat, and the University of California, Davis, will assist with improving the 3D printing technology and GMP cell manufacturing.

Researchers at UTSW and elsewhere have successfully created liver tissue by converting iPSCs to liver cells. However, Dr. Rizwan said, a major roadblock to scaling this tissue into an artificial liver is the lack of blood vessels and bile ducts, tubes that remove bile acids that build up from normal liver function. He and his colleagues have discovered a novel approach for growing both blood vessels and bile ducts within generated liver tissue, making it possible to create a fully functional artificial liver. Moreover, Dr. Rizwan is establishing a scalable organoid manufacturing facility at UT Southwestern.

Because the resulting organ will be custom-made from a patient’s own cells, he added, transplanted livers won’t require immunosuppression. In addition, he estimates a bioprinted liver could be generated in 10-13 weeks. These artificial organs won’t just be useful for transplantation, Dr. Rizwan explained. The process of developing livers from scratch is expected to lend insight into how natural livers function, helping researchers solve long-standing mysteries about this organ. Artificial livers will also be used to evaluate the safety and efficacy of pharmaceuticals in development.

Samuel Achilefu, Ph.D.
Samuel Achilefu, Ph.D., is inaugural Chair of Biomedical Engineering and Professor in the Harold C. Simmons Comprehensive Cancer Center and of Radiology at UT Southwestern and a co-investigator on this project.

The wealth of expertise and collaboration available at UTSW makes it an ideal location for developing artificial livers, said Samuel Achilefu, Ph.D., inaugural Chair of Biomedical Engineering and Professor in the Harold C. Simmons Comprehensive Cancer Center and of Radiology at UTSW. A co-investigator on this project, he will use his expertise in noninvasive imaging to evaluate the performance of the bioprinted livers.

UTSW has a robust solid organ transplant program that recently celebrated its 1,000th liver transplant and houses experts across the spectrum needed for developing artificial livers. In addition, the seven UTSW researchers leading portions of this project, the 11 core facilities they will use, and UTSW’s hepatology clinics are all within walking distance, facilitating teamwork.

“This project represents a bold step toward advancing patient care through biomedical innovation,” Dr. Achilefu said. “It unites engineers, clinicians, and scientists to transform discovery into real-world solutions, shaping a future where functional organ printing becomes reality.”

Other UTSW co-investigators involved in the project are Hao Zhu, M.D., Professor of Children’s Medical Center Research Institute at UT Southwestern; Walter Akers, Ph.D., D.V.M., Associate Professor of Biomedical Engineering; and Yasin Dhaher, Ph.D., Professor of Physical Medicine & Rehabilitation.

Dr. Wu is a Virginia Murchison Linthicum Scholar in Medical Research. Dr. Achilefu holds the Lyda Hill Distinguished University Chair in Biomedical Engineering. Dr. Zhu holds the Nancy B. and Jake L. Hamon Distinguished Chair in Therapeutic Oncology Research. Drs. Achilefu, Akers, Rizwan, Wu, and Zhu are members of the Simmons Cancer Center.

This publication was supported by the Advanced Research Projects Agency for Health (ARPA-H) under Award Number D25AC000239-00, providing up to $24,939,120 for a 60-month period. The content is solely the responsibility of the authors and does not necessarily represent the official views of the Advanced Research Projects Agency for Health.

About UT Southwestern Medical Center    

UT Southwestern, one of the nation’s premier academic medical centers, integrates pioneering biomedical research with exceptional clinical care and education. The institution’s faculty members have received six Nobel Prizes and include 24 members of the National Academy of Sciences, 25 members of the National Academy of Medicine, and 13 Howard Hughes Medical Institute Investigators. The full-time faculty of more than 3,200 is responsible for groundbreaking medical advances and is committed to translating science-driven research quickly to new clinical treatments. UT Southwestern physicians provide care in more than 80 specialties to more than 140,000 hospitalized patients, more than 360,000 emergency room cases, and oversee nearly 5.1 million outpatient visits a year.

]]>
https://www.utsouthwestern.edu/newsroom/articles/year-2026/jan-utsw-award-functioning-artificial-liver.html Mon, 12 Jan 2026 12:03:00 -0600
<![CDATA[Loss of vitamin C synthesis protects animals from schistosomiasis]]> Michalis Agathocleous, Ph.D.
Michalis Agathocleous, Ph.D., Assistant Professor in CRI and of Pediatrics, works with Ji Hyung Jun, Ph.D., Agathocleous Lab Senior Research Scientist at UT Southwestern.

DALLAS – Dec. 29, 2025 – Scientists at Children’s Medical Center Research Institute at UT Southwestern (CRI) have discovered a benefit of vitamin C deficiency: protection from a major parasitic disease. Their research suggests an explanation for the loss of the ability to synthesize vitamin C in some animals, including humans.

Michalis Agathocleous, Ph.D.
Michalis Agathocleous, Ph.D., is Assistant Professor in CRI and of Pediatrics at UT Southwestern.

Ascorbate, better known as vitamin C, is not required by most animals because they can synthesize it using a gene called L-Gulonolactone Oxidase (GULO). But GULO was lost in humans and some other species as they evolved, making ascorbate a vitamin – a necessary nutrient that must come from diet. Most scientists view this as a neutral trait loss because there have been no known benefits to vitamin C deficiency.

New CRI research published in the Proceedings of the National Academy of Sciences challenges this view by showing that losing the ability to synthesize vitamin C and becoming vitamin C deficient protects animals infected with schistosomes, a type of parasitic flatworm that needs vitamin C from its host to reproduce.

The research was conducted by the lab of Michalis Agathocleous, Ph.D., Assistant Professor in CRI and of Pediatrics, in collaboration with the labs of Jipeng Wang, Ph.D., Assistant Professor at Fudan University in Shanghai, and James J. Collins, Ph.D., Professor of Pharmacology at UT Southwestern and a Howard Hughes Medical Institute Investigator.

Vitamin C deficiency classically causes scurvy. Dr. Agathocleous discovered in 2017 that vitamin C deficiency promotes myeloid leukemia development, suggesting that the disadvantages of deficiency extend beyond scurvy into cancer development.

Other scientists have shown that vitamin C synthesis is an ancient metabolic pathway lost not only in some animals, but also in many parasites. Then in 2019, Drs. Wang and Collins discovered ascorbate was one of the vital elements necessary for schistosomes to lay eggs in a petri dish. 

Dr. Agathocleous said these discoveries led him to hypothesize that a host deficient in vitamin C could be protected from parasites that require vitamin C but cannot synthesize it.

Ji Hyung Jun, Ph.D.
Ji Hyung Jun, Ph.D., is a Senior Research Scientist in the Agathocleous Lab.

Ji Hyung Jun, Ph.D., Agathocleous Lab Senior Research Scientist, and CRI researchers studied normal mice, which can naturally synthesize ascorbate, compared with mice missing the Gulo gene. They found most normal mice infected with schistosomes died from schistosomiasis, but only 5% of mice without the Gulo gene died. Intermittent vitamin C intake reduced morbidity and mortality from schistosomiasis while preventing scurvy.

“Our work changed my view of vitamins. Vitamins have been studied for over a hundred years for their possible benefits, and vitamin deficiencies are, by definition, harmful,” Dr. Agathocleous said. “This research shows that having transient deficiency in a vitamin can be beneficial in an animal infected with a pathogen that requires the vitamin.”

Nearly 250 million people are affected with schistosomiasis, the disease caused when schistosomes penetrate human skin via contaminated water. Schistosomes live, sometimes for decades, in human blood vessels near the liver.

“We think the advantage of deficiency comes from the different timescales over which the worms need vitamin C versus the host,” Dr. Agathocleous said. “Worms lay eggs every day, whereas host disease due to deficiency takes months to develop. So, on balance, there is a benefit for an infected animal to be transiently deficient in vitamin C. 

“It is still possible that the loss of vitamin C synthesis was evolutionarily neutral, since we don’t have the tools to formally test for positive selection of GULO loss in ancient primates,” Dr. Agathocleous added. “But because schistosomiasis is so prevalent, and the survival benefit for infected animals is so strong, our results could explain why GULO was lost and ascorbate became a vitamin.”

Future Agathocleous Lab research will continue to investigate the role of vitamin C and effects of its deficiency in human diseases, including parasites and myeloid leukemia, a type of blood cancer that starts in the bone marrow and affects white blood cells. 

This research was funded by the Cancer Prevention and Research Institute of Texas (CPRIT), the American Society of Hematology, the Moody Foundation, The Welch Foundation, the National Institutes of Health, the National Key Research and Development Program of China, and the Fund of Fudan University and Cao’ejiang Basic Research.

Dr. Agathocleous is a CPRIT Scholar. He is also a member of the Cellular Networks in Cancer Research Program at the Harold C. Simmons Comprehensive Cancer Center at UT Southwestern.

Dr. Collins holds the Jan and Bob Bullock Distinguished Chair for Science Education and the Jane and Bud Smith Distinguished Chair in Medicine and is a Rita C. and William P. Clements, Jr. Scholar in Biomedical Research.

About CRI

Children’s Medical Center Research Institute at UT Southwestern (CRI) is a joint venture of UT Southwestern Medical Center and Children’s Medical Center Dallas. CRI’s mission is to perform transformative biomedical research to better understand the biological basis of disease. Located in Dallas, Texas, CRI is home to interdisciplinary groups of scientists and physicians pursuing research at the interface of regenerative medicine, cancer biology, and metabolism – relentless discovery toward the treatments of tomorrow.

X/Twitter | LinkedIn | Instagram | YouTube | Facebook

About UT Southwestern Medical Center

UT Southwestern, one of the nation’s premier academic medical centers, integrates pioneering biomedical research with exceptional clinical care and education. The institution’s faculty members have received six Nobel Prizes and include 24 members of the National Academy of Sciences, 25 members of the National Academy of Medicine, and 13 Howard Hughes Medical Institute Investigators. The full-time faculty of more than 3,200 is responsible for groundbreaking medical advances and is committed to translating science-driven research quickly to new clinical treatments. UT Southwestern physicians provide care in more than 80 specialties to more than 140,000 hospitalized patients, more than 360,000 emergency room cases, and oversee nearly 5.1 million outpatient visits a year.

]]>
https://www.utsouthwestern.edu/newsroom/articles/year-2025/dec-vitamin-c-synthesis-schistosomiasis.html Mon, 29 Dec 2025 08:32:00 -0600
<![CDATA[Stiffer colon could signal risk of early-onset colorectal cancer]]> 3D illustration shows tau proteins
This image represents the spatial analysis of an early-onset tumor. In the polygon above the “008” are fibroblasts (stained yellow). Above and below the polygon are nests of cancer. Note that the fibroblasts in this area are aligned, potentially creating a “highway” for the tumor cells to spread.

DALLAS – Dec. 23, 2025 – Increased stiffness of the colon, spurred by chronic inflammation, may encourage the development and progression of early-onset colorectal cancer (CRC), a study co-led by UT Southwestern Medical Center researchers suggests. The findings, published in Advanced Science, could lead to new ways to prevent and treat this deadly subset of CRC.

Emina Huang, M.D., M.B.A.
Emina Huang, M.D., M.B.A., is Professor of Surgery in the Division of Colon and Rectal Surgery and Executive Vice Chair of Research for Surgery at UT Southwestern. Dr. Huang is also Professor of Biomedical Engineering and in the Harold C. Simmons Comprehensive Cancer Center.

“We consider this study a significant advancement toward identifying those at risk of early-onset CRC and finding new ways to treat them,” said Emina Huang, M.D., M.B.A., Professor of Surgery in the Division of Colon and Rectal Surgery and Executive Vice Chair of Research for Surgery at UT Southwestern. She is also Professor of Biomedical Engineering and in the Harold C. Simmons Comprehensive Cancer Center.

UT Southwestern partnered with researchers from The University of Texas at Dallas on the study.

“This is the first study to highlight the key role of biomechanical forces in the pathogenesis of early-onset CRC,” said Jacopo Ferruzzi, Ph.D., Assistant Professor of Bioengineering at UT Dallas and Biomedical Engineering at UT Southwestern. “Our observations are consistent across multiple length scales and link connective tissue stiffening to altered biochemical signaling in cancer cells.”

CRCs that are not caused by genetic syndromes and that occur at an average age of over 50 are known as average-onset or sporadic CRCs. The incidence and deaths from average-onset CRC have decreased over the last three decades. At the same time, the incidence and deaths from CRCs that occur before age 50, known as early-onset CRCs, have risen dramatically during the same period. Early-onset CRC now comprises about 12% of all CRCs diagnosed in the U.S. since 2020.

Jacopo Ferruzzi, Ph.D.
Jacopo Ferruzzi, Ph.D., is Assistant Professor of Bioengineering at UT Dallas and Biomedical Engineering at UT Southwestern.

The reason for this rapid increase is unknown. Most research in this area has focused on lifestyle, excess weight, and environmental exposures that could potentially drive CRC by causing chronic intestinal inflammation. However, why chronic inflammation might lead to early-onset CRC has been unclear.

Dr. Huang explained that chronic inflammation can cause scarring, gradually increasing the stiffness of tissues over time. Such stiffness is known to drive development and progression in some other cancer types, such as breast and pancreatic cancers. She and her colleagues wondered whether a similar phenomenon might spur early-onset CRC.

To answer this question, researchers worked with intestinal tissue from patients who underwent surgery to remove their cancerous tumors at William P. Clements University Hospital and Parkland Health: 19 samples from patients with average-onset CRC and 14 from patients with early-onset CRC. Each sample included not only malignant tumors but also their noncancerous margins. Tests showed that both the tumors and the noncancerous tissue were significantly stiffer in samples from patients with early-onset CRC compared with those from patients with average-onset CRC. These findings suggest that an increase in stiffness may have preceded early-onset CRC development.

Searching for a reason for this increased rigidity, researchers examined the collagen in both sample types, a protein that increases in abundance and changes conformation with scarring. They found that collagen in the early-onset samples was denser, longer, more mature, and more aligned than those in the average-onset samples. Those factors underscore the role of scarring in early-onset CRC tissue.

When scientists compared gene activity in the two sample types, they saw a significant increase in the expression of genes associated with collagen metabolism, blood vessel formation, and inflammation in the early-onset CRC tissues, further reinforcing that scarring from chronic inflammation is responsible for tissue stiffness. Importantly, they also noticed an uptick in a molecular pathway responsible for mechanotransduction, a process in which cells convert mechanical forces into biochemical signals. This suggests that cells in the early-onset CRC samples might change their behavior based on the stiffness of their environment.

Not surprisingly, when the researchers grew CRC cell lines on substrates with various levels of rigidity, they found that the cells multiplied quicker on stiffer substrates and increased rigidity. Similarly, three-dimensional organoid models made from CRC cells grew bigger faster on stiffer substrates.

Together, Dr. Huang said, these findings suggest that a more rigid environment might cause CRC to initiate and grow in those who develop early-onset CRC. They also reinforce the idea that disrupting mechanotransduction molecular pathways in these cells could halt or reverse CRC initiation and growth, a strategy currently being explored for some other cancers. Developing diagnostic tests to assess intestinal stiffness could help identify those at risk of early-onset CRC, Dr. Huang added, much like colonoscopies have done for average-onset CRC.

A complete list of UTSW contributors can be found in the study.

Dr. Huang holds the Doyle L. Sharp, M.D. Distinguished Chair in Surgical Research. She is a member of the Cellular Networks in Cancer Research Program at Simmons Cancer Center.

This study was funded by the National Institutes of Health (R01 CA234307 and U01 CA214300), The University of Texas at Dallas Office of Research and Innovation through the CoBRA program, the Burroughs-Wellcome Trust, the American Society of Colon and Rectal Surgeons Resident Research Initiation Grant, The University of Texas at Dallas Bioengineering Research Award, the UT Southwestern Whole Brain Microscopy Facility, an Axioscan 7 Award, the Catherine and James McCormick Charitable Foundation supporting research in early-onset colorectal cancer, and a National Cancer Institute (NCI) Cancer Center Support Grant (P30 CA142543).

About UT Southwestern Medical Center    

UT Southwestern, one of the nation’s premier academic medical centers, integrates pioneering biomedical research with exceptional clinical care and education. The institution’s faculty members have received six Nobel Prizes and include 24 members of the National Academy of Sciences, 25 members of the National Academy of Medicine, and 13 Howard Hughes Medical Institute Investigators. The full-time faculty of more than 3,200 is responsible for groundbreaking medical advances and is committed to translating science-driven research quickly to new clinical treatments. UT Southwestern physicians provide care in more than 80 specialties to more than 140,000 hospitalized patients, more than 360,000 emergency room cases, and oversee nearly 5.1 million outpatient visits a year.

About Parkland Health

Parkland Health is one of the largest public hospital systems in the country. Premier services at the state-of-the-art Parkland Memorial Hospital include the Level I Rees-Jones Trauma Center, the only burn center in North Texas verified by the American Burn Association for adult and pediatric patients, and a Level III Neonatal Intensive Care Unit. The system also includes two on-campus outpatient clinics – the Ron J. Anderson, MD Clinic and the Moody Outpatient Center, as well as more than 30 community-based clinics and numerous outreach and education programs. By cultivating its diversity, inclusion, and health equity efforts, Parkland enriches the health and wellness of the communities it serves. For more information, visit parklandhealth.org.

]]>
https://www.utsouthwestern.edu/newsroom/articles/year-2025/dec-stiffer-intestines-early-onset-colorectal-cancer.html Tue, 23 Dec 2025 08:00:00 -0600
<![CDATA[State’s investment in cancer research has helped draw top talent to UTSW]]> Joshua Gruber, M.D., Ph.D. and Matteo Ligorio, M.D., Ph.D.
Joshua Gruber, M.D., Ph.D., (left) Assistant Professor of Internal Medicine, and Matteo Ligorio, M.D., Ph.D., Assistant Professor of Surgery, both joined UT Southwestern after being awarded First-Time, Tenure-Track Faculty Member grants from the state-funded Cancer Prevention and Research Institute of Texas.

DALLAS – Dec. 19, 2025 – Early in his career, Ralf Kittler, Ph.D., attracted the attention of academic leaders at UT Southwestern Medical Center with his studies of DNA transcription factors and their role in tumor growth and suppression. His promising cancer research earned him an invitation to relocate to Dallas, where a $2 million grant from the state-funded Cancer Prevention and Research Institute of Texas (CPRIT) would help create his own lab at UTSW and turbocharge his scientific investigations.

Arriving from the University of Chicago in 2009, Dr. Kittler was the first of more than 300 highly sought-after scientists who have been recruited to Texas through the state’s multimillion-dollar program to advance the understanding and treatment of cancer.

In the more than 15 years since then, Dr. Kittler has become an Associate Professor at UT Southwestern’s Eugene McDermott Center for Human Growth and Development and the Harold C. Simmons Comprehensive Cancer Center as well as in the Department of Pharmacology. And CPRIT has provided more than $250 million in financial support to add faculty at UT Southwestern, giving it a competitive edge to attract some of the world’s most dynamic and in-demand cancer researchers.

>Ralf Kittler, Ph.D. and Robert Bachoo, M.D.
Ralf Kittler, Ph.D., (left) Associate Professor at UT Southwestern’s Eugene McDermott Center for Human Growth and Development, and Robert Bachoo, M.D., Ph.D., Associate Professor of Neurology, have studied ways to treat glioblastoma, a tumor that affects the brain and spinal cord.

This investment also has contributed to the foundational growth and success of Simmons Cancer Center, one of 57 NCI-designated Comprehensive Cancer Centers in the country and the only one in North Texas. Today, Simmons Cancer Center has 277 faculty members across 37 academic departments, runs hundreds of active clinical trials, and supports five research programs and 14 disease-oriented teams. UT Southwestern is also ranked by U.S. News & World Report as one of the top 20 hospitals for cancer care in the nation.

“It was clear from the start that CPRIT would be transformative for cancer research at UT Southwestern,” Dr. Kittler said.

Statewide, CPRIT’s impact has been equally profound. It has funneled nearly $1 billion to academic institutions, research organizations, and biomedical companies to bring the best and brightest scientists and clinical investigators to Texas. And it was all done with one bold mission in mind: to make the state a global leader in the fight against cancer.

Steering the future of cancer therapy

Created with voter approval in 2007, CPRIT began with a $3 billion investment to accelerate cancer research, support screening and preventive services, develop therapies, and recruit top talent to make it all possible. In 2019, Texans overwhelmingly supported a constitutional amendment to continue CPRIT’s work and infuse another $3 billion into the program. CPRIT has since become the largest state cancer research investment in U.S. history and the second-largest cancer research and prevention program anywhere. 

Carlos L. Arteaga, M.D.
Carlos L. Arteaga, M.D., is Director of the Simmons Cancer Center and Associate Dean of Oncology Programs at UT Southwestern.

“CPRIT has invested millions of dollars in our effort to screen for, prevent, and fight cancer, moving us closer every day to breakthrough therapies and life-changing medicines,” said Carlos L. Arteaga, M.D., Director of the Simmons Cancer Center and Associate Dean of Oncology Programs at UT Southwestern. Dr. Arteaga, who joined UTSW as the Center’s director in 2017 with a $6 million CPRIT recruitment grant, is an internationally renowned physician-scientist who has led the development and approval of molecularly targeted therapies for breast cancer. In 2024, he was elected to the National Academy of Medicine, one of the highest honors in the fields of health and medicine.

Academic institutions across the state have successfully pursued some of the most accomplished researchers to bring to Texas. Investigators have come from every corner of the U.S. and abroad, including countries in Europe, South America, and Asia. And the grants are awarded to scientists of all levels, from first-time, tenure-track junior faculty to mid-level associate professors to established senior researchers.

Among the most recent high-profile hires at UT Southwestern is Stefan Gloeggler, Ph.D., Professor in the Advanced Imaging Research Center and of Biomedical Engineering, who was recruited from the Max Planck Institute of Multidisciplinary Sciences in Göttingen, Germany. Dr. Gloeggler is a pioneer in hyperpolarized magnetic resonance imaging (MRI) technology, which can be applied in studies of cancer metabolism to improve disease detection and treatment.

Daniel Addison, M.D., former Director of the Cardio-Oncology Program at The Ohio State University, also joined the faculty at UT Southwestern through a CPRIT Rising Star recruitment award. Dr. Addison is Associate Professor of Internal Medicine, Director of Translational Research in the Division of Cardiology, and Associate Director for Survivorship and Outcomes Research in the Simmons Cancer Center. His research on the link between cancer treatments and cardiovascular disease has led to multicenter clinical trials that aim to eliminate or reduce such heart complications.

Most recently, Shixuan Liu, Ph.D., Assistant Professor of Neuroscience in the Peter O’Donnell Jr. Brain Institute, was recruited to UT Southwestern this year from Stanford University with the help of a $2 million CPRIT Scholar grant. Her lab’s research focuses on decoding the molecular mechanisms of the seasonal clock and its cross-talk with circadian rhythms.

Many early-career researchers who were brought to UT Southwestern through CPRIT have continued their path to great academic success.

Matteo Ligorio, M.D., Ph.D., Assistant Professor of Surgery and in the Simmons Cancer Center, arrived at UT Southwestern in 2020 from Harvard after he was awarded a CPRIT First-Time, Tenure-Track Faculty Member grant. In October 2025, Nature Medicine published a one-of-a-kind study he co-led that shifted the paradigm on the understanding of how cancer kills. His findings suggest the ultimate cause of cancer death is not metastatic disease, but the invasion of tumors into major blood vessels that lead to blood clots and multi-organ failure. With this new discovery, he and his co-author Kelley Newcomer, M.D., Associate Professor of Internal Medicine at UT Southwestern, are now collaborating with other researchers from around the world to design clinical trials that can test potentially more effective cancer therapies.

Just this month, the Texas Academy of Medicine, Engineering, Science & Technology (TAMEST) named Yunsun Nam, Ph.D., Professor of Biochemistry and Biophysics at UT Southwestern, as the winner of the prestigious 2026 Edith and Peter O’Donnell Award in Biological Sciences for her scientific achievements. Dr. Nam was also recruited to UT Southwestern as a first-time, tenure-track faculty member. Arriving in Dallas in 2012, Dr. Nam is widely recognized for her research on the molecular interactions of RNA and modifying proteins.

Financially backed by CPRIT and UTSW, these impactful researchers have the funding they need to purchase leading-edge lab equipment and hire the necessary staff to continue their pursuit of cancer breakthroughs.

“The resources you have when you start your career as a principal investigator are vitally important,” Dr. Kittler said.

Since his arrival, UT Southwestern has recruited more than 90 other experts with CPRIT support specializing in a variety of cancers – from liver cancer to ocular cancer to breast cancer to leukemia — as well as biomedical engineers and stem cell researchers, all of whom have made significant contributions to science.

Dr. Kittler himself was the co-leader of an investigation into how lentiviruses can mutate oncoproteins and render cancer cells resistant to drug therapy. By understanding the mechanisms at play and how to manipulate them, Dr. Kittler’s findings may unlock the development of more effective and targeted cancer treatments.

“CPRIT triggered a rapid growth of resources, talent, and collaboration soon after its start,” Dr. Kittler said. “It has been a massive stimulus to our university and exceeded expectations.”

Discoveries that have a lasting impact

Sean J. Morrison, Ph.D. and Julia Phan
Sean J. Morrison, Ph.D., (left) founding director of Children’s Medical Center Research Institute at UT Southwestern, works with Julia Phan, Ph.D., a former graduate student researcher and current student in the Medical Scientist Training Program at UT Southwestern.

In 2011, Sean J. Morrison, Ph.D., was recruited with a $10 million CPRIT grant to become the founding director of Children’s Medical Center Research Institute at UT Southwestern (CRI).

The nonprofit institute is focused on pioneering research at the intersection of stem cells, cancer, and metabolism. Since CRI’s inception, the internationally recognized team of scientists has made significant discoveries that improved the understanding of the biological basis of diseases, including cancer.

Dr. Morrison’s research has redefined strategies for cancer treatment. His studies in melanoma showed that antioxidants can promote disease progression and led to studies that are attempting to develop new pro-oxidant therapies. His work also uncovered the role of the bone marrow microenvironment, where blood-forming stem cells are located, leading to new insights that improved the safety of bone marrow and stem cell transplantation.

“CPRIT has profoundly strengthened cancer research in Texas because it accelerates medical science in a way that is not replicated in other parts of the country, where funding is difficult to obtain,” said Dr. Morrison, Professor in CRI and of Pediatrics at UT Southwestern and a member of the National Academy of Sciences, the National Academy of Medicine, and the European Molecular Biology Organization. Since 2000, he has also been a Howard Hughes Medical Institute (HHMI) Investigator. “Texas is the only state, aside from California, to make a multibillion-dollar commitment to science and to renew that investment after the initial term,” he said.

Exceptional reputation and vision drive progress

At the core of UT Southwestern’s mission is the commitment to enhance lives by developing better treatments, cures, and preventive care – a common goal shared by all CPRIT scholars.

Joshua T. Mendell, M.D., Ph.D.
Joshua T. Mendell, M.D., Ph.D., Professor of Molecular Biology at UT Southwestern and a Howard Hughes Medical Institute Investigator, studies how microRNAs contribute to oncogenesis and tumor suppression.

Joshua T. Mendell, M.D., Ph.D., Professor of Molecular Biology at UT Southwestern, member of the Cellular Networks in Cancer Research Program in the Simmons Cancer Center, and an HHMI Investigator, was also recruited with CPRIT support in 2011, after discovering that microRNAs can be modulated to inhibit liver cancer in mouse models. At UT Southwestern, Dr. Mendell and his lab continue to investigate how these noncoding molecules contribute to oncogenesis and tumor suppression.

“Our goal is to advance our understanding of RNA biology and to discover new functions for RNAs, because these molecules play critical roles in normal biology and often go awry in cancer and other diseases,” said Dr. Mendell, who, in October 2025, was elected to the National Academy of Medicine.  “Because of this, there is a strong interest in developing medicines based on RNA – the most famous and successful example, in recent times, being the COVID-19 vaccine.”

In fact, it is the same field of research that was awarded the Nobel Prize in Physiology or Medicine in both 2023 and 2024.

“UT Southwestern has always recognized the value of basic science,” Dr. Mendell said. “The research conducted on this campus has repeatedly demonstrated how fundamental scientific discoveries can lead to new clinical innovations that impact the lives of patients. While UT Southwestern has grown since my arrival here, the institutional commitment to bold and collaborative research has also continued.”

Recent CPRIT grants support AI research, lung and cervical cancer prevention programs

CPRIT awards grants not only to recruit scientists to Texas but also to fund research and cancer prevention efforts. In November, CPRIT announced its latest round of awards, including nearly $15 million in grants to UT Southwestern faculty members for programs ranging from lung cancer screening and tobacco cessation to research related to artificial intelligence (AI) and advanced imaging. In addition, recruitment grants for the year totaled $10 million to attract tenure-track faculty members to UTSW.

A sampling of significant CPRIT grants funded to UTSW in 2025 include:

  • Nearly $3 million to Kevin Dean, Ph.D., Assistant Professor in the Lyda Hill Department of Bioinformatics, to establish the Cancer Cell Imaging Core (CCIC), a facility to visualize and analyze cancer cells in unprecedented detail.
  • Nearly $3 million to Guanghua Xiao, Ph.D., Professor in the Peter O’Donnell Jr. School of Public Health, the Department of Biomedical Engineering, and the Lyda Hill Department of Bioinformatics, to establish a Data Science and AI Core for Population Research (DAICOR) in Texas.
  • Nearly $2.5 million to Keith Argenbright, M.D., Director of the Moncrief Cancer Institute, Professor and member of the Population Science and Cancer Control Research Program in the Simmons Cancer Center, and Professor in the O’Donnell School of Public Health, to implement a cervical cancer screening program in North Texas.
  • Nearly $2.5 million to David Gerber, M.D., Professor of Internal Medicine and Co-Director of the Simmons Cancer Center’s Office of Education and Training, to advance existing integrated lung cancer screening and tobacco cessation programs – with efforts focused on populations in southern Dallas County.

Dr. Addison holds the Audre and Bernard Rapoport Chair in Cardiovascular Research.

Dr. Argenbright is a Distinguished Teaching Professor.

Dr. Arteaga holds the Annette Simmons Distinguished University Chair in Breast Cancer Research.

Dr. Gerber holds the David Bruton, Jr. Professorship in Clinical Cancer Research.

Dr. Kittler is the John L. Roach Scholar in Biomedical Research.

Dr. Mendell holds the Charles Cameron Sprague, M.D. Chair in Medical Science.

Dr. Morrison holds the Kathryne and Gene Bishop Distinguished Chair in Pediatric Research at Children’s Research Institute at UT Southwestern and the Mary McDermott Cook Chair in Pediatric Genetics.

Dr. Nam holds the Doris and Bryan Wildenthal Distinguished Chair in Medical Science and is a Southwestern Medical Foundation Scholar in Biomedical Research and a UT Southwestern Presidential Scholar.

Dr. Xiao holds the Mary Dees McDermott Hicks Chair in Medical Science.

About UT Southwestern Medical Center

UT Southwestern, one of the nation’s premier academic medical centers, integrates pioneering biomedical research with exceptional clinical care and education. The institution’s faculty members have received six Nobel Prizes and include 24 members of the National Academy of Sciences, 25 members of the National Academy of Medicine, and 13 Howard Hughes Medical Institute Investigators. The full-time faculty of more than 3,200 is responsible for groundbreaking medical advances and is committed to translating science-driven research quickly to new clinical treatments. UT Southwestern physicians provide care in more than 80 specialties to more than 140,000 hospitalized patients, more than 360,000 emergency room cases, and oversee nearly 5.1 million outpatient visits a year.

]]>
https://www.utsouthwestern.edu/newsroom/articles/year-2025/dec-cprit-recruitment-grants-cancer-research.html Fri, 19 Dec 2025 08:08:00 -0600
<![CDATA[UT Southwestern cell biologist to receive Maddox Award from TAMEST]]> Maralice Conacci-Sorrell, Ph.D. is the recipient of the 2026 Mary Beth Maddox Award and Lectureship award
Photo credit: UT Southwestern/TAMEST (Texas Academy of Medicine, Engineering, Science & Technology)

DALLAS – Dec. 18, 2025 – Maralice Conacci-Sorrell, Ph.D., Associate Professor of Cell Biology at UT Southwestern Medical Center, is the recipient of the 2026 Mary Beth Maddox Award and Lectureship from the Texas Academy of Medicine, Engineering, Science & Technology (TAMEST). Dr. Conacci-Sorrell is being honored for her pioneering research revealing how cancer cells harness nutrients to drive their growth and for creating targeted strategies to suppress untreatable cancers.

The Maddox Award, which recognizes women scientists in Texas who bring “new ideas and innovations to the fight against cancer,” was established in 2022 and named after former TAMEST Executive Director Mary Beth Maddox, who died from pancreatic cancer.

Since Dr. Conacci-Sorrell arrived at UT Southwestern in 2015, her research has uncovered how changes in cellular metabolism support uncontrolled growth in cancer and how these vulnerabilities can be targeted. Her work focuses on two fundamental processes: nutrient utilization and protein synthesis. By studying how cancer‑driving genes alter these pathways, she and her colleagues in the Sorrell Lab aim to identify strategies that disrupt tumor growth without harming normal tissues.

“Maralice has done highly innovative research in the cancer field and is an extraordinary educator and mentor,” said Steven Kliewer, Ph.D., Professor of Molecular Biology and Pharmacology at UTSW and a member of the National Academy of Sciences, who nominated Dr. Conacci-Sorrell for the award. “She is richly deserving of this honor.”

The Sorrell Lab discovered that certain cancers depend heavily on nutrients such as tryptophan to fuel their growth. In liver tumors, tryptophan can produce a metabolite that acts as a growth signal driving the cancer cells to multiply. Dr. Conacci-Sorrell and her colleagues showed in 2024 that removing this nutrient from the diet can halt tumor growth in mice, and adding the metabolite restored it – revealing a potential therapeutic target for liver cancer. In parallel, her studies on brain tumors revealed that blocking pyrimidine synthesis – the process cells use to make DNA and RNA building blocks – slows tumor growth even in drug-resistant forms of brain cancer.

“Dr. Conacci-Sorrell’s research has been pivotal in advancing our understanding of how cellular processes drive disease and uncovering strategies to address them,” said Helen Heslop, M.D., Mary Beth Maddox Award and Lectureship Committee Chair, Professor of Medicine and Pediatrics at Baylor College of Medicine, and member of the National Academy of Medicine. “Equally notable is her steadfast leadership and dedication to mentorship, cultivating pathways that open doors for the next generation of scientists.”

Dr. Conacci-Sorrell will be celebrated in February at the TAMEST 2026 Annual Conference: Pioneering Climate Innovations, where she will present her research and receive a $5,000 honorarium and award.

“I am honored to be recognized with women who are driving discovery in cancer biology and contributing to a stronger scientific community,” said Dr. Conacci-Sorrell, who has a secondary appointment in Children’s Medical Center Research Institute at UT Southwestern (CRI).

After the conference, Dr. Conacci-Sorrell will share her discoveries across the state during lectures at four TAMEST member institutions with National Cancer Institute-Designated Cancer Centers, including the Harold C. Simmons Comprehensive Cancer Center at UT Southwestern. Dr. Conacci-Sorrell is a member of the Simmons Cancer Center.

Dr. Conacci-Sorrell holds the John P. Perkins, Ph.D. Distinguished Professorship in Biomedical Science and is a Virginia Murchison Linthicum Scholar in Medical Research at UTSW. She won the Outstanding Educator Award for the Graduate School of Biomedical Sciences in 2023 and the Excellence in Postdoctoral Mentoring Award in 2024.

TAMEST, founded in 2004, comprises Texas-based members of the three National Academies (National Academy of Medicine, National Academy of Engineering, and National Academy of Sciences) and other honorific organizations. TAMEST includes more than 355 members, eight Nobel Laureates, and 23 member institutions. 

Dr. Kliewer joined TAMEST in 2015. He holds the Diana K. and Richard C. Strauss Distinguished Chair in Developmental Biology at UTSW.

About UT Southwestern Medical Center    

UT Southwestern, one of the nation’s premier academic medical centers, integrates pioneering biomedical research with exceptional clinical care and education. The institution’s faculty members have received six Nobel Prizes and include 24 members of the National Academy of Sciences, 25 members of the National Academy of Medicine, and 13 Howard Hughes Medical Institute Investigators. The full-time faculty of more than 3,200 is responsible for groundbreaking medical advances and is committed to translating science-driven research quickly to new clinical treatments. UT Southwestern physicians provide care in more than 80 specialties to more than 140,000 hospitalized patients, more than 360,000 emergency room cases, and oversee nearly 5.1 million outpatient visits a year.

]]>
https://www.utsouthwestern.edu/newsroom/articles/year-2025/dec-maddox-tamest.html Thu, 18 Dec 2025 08:21:00 -0600
<![CDATA[UT Southwestern biochemist to receive O’Donnell Award from TAMEST]]> TAMEST 2026 O’Donnell Award in Biological Sciences: Yunsun Nam, Ph.D.
Photo credit: Courtesy of TAMEST (Texas Academy of Medicine, Engineering, Science & Technology)

DALLAS – Dec. 11, 2025 – Yunsun Nam, Ph.D., Professor of Biochemistry and Biophysics at UT Southwestern Medical Center, will receive the 2026 Edith and Peter O’Donnell Award in Biological Sciences from the Texas Academy of Medicine, Engineering, Science & Technology (TAMEST) for her research into how RNAs and proteins interact at the molecular level. Her work has shed light on gene regulation, cancer biology, and RNA-based therapeutics.

TAMEST presents annual awards to recognize the achievements of early-career Texas investigators in the fields of science, medicine, engineering, and technological innovation. The O’Donnell Award comes with a $25,000 honorarium and an invitation to make a presentation before hundreds of TAMEST members. Dr. Nam is the 18th scientist at UT Southwestern to be honored with an O’Donnell Award since TAMEST launched the awards in 2006 and is one of five Texas-based researchers receiving the award this year.

Watch the TAMEST video about Dr. Nam

“I am grateful for this award because recognition like this keeps encouraging us to aim high and keep challenging ourselves,” said Dr. Nam, who holds the Doris and Bryan Wildenthal Distinguished Chair in Medical Science. She is also a member of the Harold C. Simmons Comprehensive Cancer Center and an Investigator in the Peter O’Donnell Jr. Brain Institute.

Only an estimated 2% of the human genome codes for proteins. Most of the genome is still transcribed into RNAs, many of which function as noncoding RNAs that play crucial roles in gene regulation. The Nam Lab is particularly interested in a family of noncoding RNAs known as microRNAs that modulate messenger RNA (mRNA) translation and play key roles in diseases including cancer. Using cutting-edge biochemistry and structural biology methods, Dr. Nam and her colleagues have produced a wealth of insights into how microRNAs are processed in cells, modified with chemical groups, and remodeled by different proteins to exert their effects.

Using cryo-electron microscopy, which allows scientists to image molecules at atomic resolution, the team determined the core structure of the Microprocessor protein complex, the processing enzyme that produces microRNAs by cleaving longer RNA pieces. Their research showed that this complex recognizes where to cut RNA based on structural motifs found in the longer segments, rather than specific RNA sequences as some researchers had assumed.

Their research also extends to other classes of protein enzymes that act on RNAs, such as RNA modification enzymes. They found that structural motifs determine where the METTL1-WDR4 protein complex places chemical modifications to regulate the stability and function of transfer RNAs. In contrast, their work on the METTL3-METTL14 complex showed that some proteins determine where to chemically modify mRNAs through sequence recognition.

Chemical modification performed by both complexes has been found to go awry in various cancers, Dr. Nam explained, suggesting these complexes and their interactions with RNA could eventually serve as targets for novel cancer therapies.

“Yunsun is a rising star in the study of RNA-protein interactions,” said Yuh Min Chook, Ph.D., Professor of Pharmacology and Biophysics at UTSW and recipient of the 2015 O’Donnell Award in Biological Sciences, who nominated Dr. Nam for her O’Donnell Award. “Her work on how proteins modify RNAs is very much basic science, and yet when these modification processes go awry, they lead to diseases like cancer and developmental disorders. The work in the Nam Lab thus provides a unique foundation for development of therapeutics to target these diseases.”

Dr. Nam came to UTSW in 2013, supported by a recruitment grant from the Cancer Prevention and Research Institute of Texas. Born in Korea and raised in Indonesia, she was inspired to become a scientist at 8 years old after reading a biography of Marie Curie she had borrowed from the library. She followed her dream to Harvard University, where she earned an undergraduate degree in biochemical sciences and a doctoral degree in biological chemistry and molecular pharmacology, and continued on for postdoctoral fellowships. She became interested in noncoding RNAs while working on her last postdoctoral research project, where she studied RNA recognition by Lin28, a stem cell factor and an oncogene.

The Edith and Peter O’Donnell Awards recognize rising star Texas researchers who are addressing the essential role science and technology play in society and whose work meets the highest standards of exemplary professional performance, creativity, and resourcefulness. The Edith and Peter O’Donnell Awards are made possible by the O’Donnell Awards Endowment Fund, established in 2005 through the generous support of several individuals and organizations.

This year’s recipients will be honored at the 2026 Edith and Peter O’Donnell Awards Ceremony on Feb. 3 and will present their research at the TAMEST 2026 Annual Conference: Pioneering Climate Innovations at the Kimpton Santo Hotel in San Antonio.

“The Edith and Peter O’Donnell Awards have shone a spotlight on Texas’ brightest emerging researchers who are pushing the boundaries of science and technology for the past 20 years,” said Edith and Peter O’Donnell Awards Committee Chair Margaret A. Goodell, Ph.D., Chair and Professor of Molecular and Cellular Biology at Baylor College of Medicine and a member of the National Academy of Medicine. “Each year, these awards celebrate not only exceptional individual achievement but also the profound impact that innovative research has on communities, industries, and our future. It is inspiring to witness the next generation of trailblazers making Texas a global leader in transformative discovery.”

Dr. Nam is a Southwestern Medical Foundation Scholar in Biomedical Research and a UT Southwestern Presidential Scholar. Dr. Chook holds the Alfred and Mabel Gilman Chair in Molecular Pharmacology, is a Eugene McDermott Scholar in Biomedical Research, and is a member of Simmons Cancer Center.

About UT Southwestern Medical Center    

UT Southwestern, one of the nation’s premier academic medical centers, integrates pioneering biomedical research with exceptional clinical care and education. The institution’s faculty members have received six Nobel Prizes and include 24 members of the National Academy of Sciences, 25 members of the National Academy of Medicine, and 13 Howard Hughes Medical Institute Investigators. The full-time faculty of more than 3,200 is responsible for groundbreaking medical advances and is committed to translating science-driven research quickly to new clinical treatments. UT Southwestern physicians provide care in more than 80 specialties to more than 140,000 hospitalized patients, more than 360,000 emergency room cases, and oversee nearly 5.1 million outpatient visits a year.

]]>
https://www.utsouthwestern.edu/newsroom/articles/year-2025/dec-nam-tamest.html Thu, 11 Dec 2025 07:00:00 -0600
<![CDATA[Key protein behind necroptotic cell death could drive new treatment strategies]]> A human cell undergoing plasma membrane rupture during necroptotic cell death
This image shows a human cell undergoing plasma membrane rupture during necroptotic cell death.

DALLAS – Dec. 10, 2025 – Researchers at UT Southwestern Medical Center have identified a protein that causes human cell membranes to break open in a form of inflammatory programmed cell death called necroptosis. Their findings, reported in Nature, could eventually lead to new treatments for a broad array of conditions that involve this phenomenon, including severe infections and sepsis, chronic inflammatory diseases such as Crohn’s disease, neurodegenerative diseases such as Alzheimer’s and amyotrophic lateral sclerosis (ALS), and several forms of cancer.

“Our study identifies a human-specific mediator of necroptotic membrane rupture, revealing a previously unknown, druggable control point in inflammatory cell death,” said study leader Ayaz Najafov, Ph.D., Assistant Professor of Internal Medicine in the Division of Digestive and Liver Diseases and in Children’s Medical Center Research Institute at UT Southwestern. Dr. Najafov is also a member of the Cellular Networks in Cancer Research Program in the Harold C. Simmons Comprehensive Cancer Center.

Ayaz Najafov, M.Sc., Ph.D.
Ayaz Najafov, Ph.D., is Assistant Professor of Internal Medicine in the Division of Digestive and Liver Diseases and in Children’s Medical Center Research Institute at UT Southwestern. Dr. Najafov is also a member of the Harold C. Simmons Comprehensive Cancer Center.

In humans and most other organisms, programmed cell death is necessary to shape tissues during development; eliminate old, damaged, infected, or unnecessary cells; or strike a balance between cell growth and death, among other functions, Dr. Najafov explained. When cells become inflamed through infection or chronic disease, they can undergo necroptosis, a form of programmed cell death in which a molecular cascade ultimately culminates in cell membrane rupture. This process releases signals that recruit immune cells to the dead cells to remove their debris and fight released bacteria or viruses.

In other forms of programmed cell death that also involve cell membrane rupture – such as apoptosis, pyroptosis, and ferroptosis – researchers have shown that a protein called NINJ1 is responsible for splitting open the cell membrane. However, NINJ1 doesn’t appear to be involved in necroptosis. Although previous studies have identified the preceding steps in the necroptosis molecular cascade, Dr. Najafov said, none had discovered a protein analogous to NINJ1 in this process.

Searching for that missing piece, Dr. Najafov and his colleagues used the gene editing tool CRISPR to eliminate individual genes in human cells that had been modified to produce an activated form of MLKL, the last known protein in the necroptosis molecular cascade. Producing this form of MLKL caused most of these cells to undergo necroptosis and burst open. The only exception was a cell clone in which CRISPR had inactivated the gene coding for a protein called SIGLEC12, which has parts that are strikingly similar to NINJ1.

When the researchers stimulated cells missing SIGLEC12 to undergo necroptosis, their cell membranes ballooned outward but didn’t rupture. Forcing cells to produce extra SIGLEC12 didn’t cause them to burst open either. A closer look showed that another protein called TMPRSS4 cuts off part of SIGLEC12, a process that seems to be key for activating it. Experiments using just this cleaved form of SIGLEC12 showed that it was sufficient to prompt cell membrane rupture.

Cells from many cancer types are less likely than healthy cells to undergo necroptosis, a factor thought to help them survive and grow. Dr. Najafov and his colleagues found that SIGLEC12 mutations, common in many cancer types, prevent this protein from being cleaved by TMPRSS4, thus stymieing SIGLEC12 function. They identified several other SIGLEC12 mutations found in the general population, which also prevent SIGLEC12 cleavage by TMPRSS4. Although the significance of these mutations isn’t known, they could affect sensitivity to infections and other inflammatory conditions, he said.

In the future, Dr. Najafov added, drugs that target SIGLEC12 or TMPRSS4 could be used to prevent necroptosis and treat conditions in which it’s a common feature.

Other UTSW researchers who contributed to this study are first author Hyunjin Noh, Ph.D., postdoctoral researcher, and Zeena Hashem, B.Sc., graduate student researcher.

This study was funded by the National Institute of General Medical Sciences (R35 GM146861) and a National Cancer Institute Cancer Center Support Grant (P30 CA142543).

About UT Southwestern Medical Center    

UT Southwestern, one of the nation’s premier academic medical centers, integrates pioneering biomedical research with exceptional clinical care and education. The institution’s faculty members have received six Nobel Prizes and include 24 members of the National Academy of Sciences, 25 members of the National Academy of Medicine, and 13 Howard Hughes Medical Institute Investigators. The full-time faculty of more than 3,200 is responsible for groundbreaking medical advances and is committed to translating science-driven research quickly to new clinical treatments. UT Southwestern physicians provide care in more than 80 specialties to more than 140,000 hospitalized patients, more than 360,000 emergency room cases, and oversee nearly 5.1 million outpatient visits a year.

]]>
https://www.utsouthwestern.edu/newsroom/articles/year-2025/dec-key-protein-necroptotic-cell-death.html Wed, 10 Dec 2025 08:42:00 -0600
<![CDATA[Findings may move science closer to growing organs in other species]]> Tiny human RNA molecules (shown as white dots) move from human cells into neighboring mouse cells, activating those cells’ antiviral defense system.
When human (green) and mouse (red) pluripotent stem cells are grown together, the human cells tend to die off through a process known as cell competition. UT Southwestern researchers discovered one of the main triggers: Tiny human RNA molecules (shown as white dots) move from human cells into neighboring mouse cells, activating those cells’ antiviral defense system. This causes the mouse cells to push out and eliminate the human cells.

DALLAS – Dec. 08, 2025 – Failure of human pluripotent stem cells (PSCs) to survive when grown with the PSCs of distantly related species occurs because of an innate immune reaction in the nonhuman cells, a study led by UT Southwestern Medical Center researchers suggests. The findings, published in Cell, could help researchers remove a key barrier to growing human organs in other species for transplant.

Jun Wu, Ph.D.
Jun Wu, Ph.D., is Associate Professor of Molecular Biology at UT Southwestern and a member of the Cecil H. and Ida Green Center for Reproductive Biology Sciences, the Harold C. Simmons Comprehensive Cancer Center, and the Hamon Center for Regenerative Science and Medicine. Dr. Wu is a Virginia Murchison Linthicum Scholar in Medical Research.

“Our ultimate goal is to use human PSCs to generate organs and tissues in animals to overcome the worldwide shortage of organ and tissue donors. This research uncovers a previously unrecognized role for RNA innate immunity in cell competition and interspecies chimerism that’s blocking us from reaching that objective,” said Jun Wu, Ph.D., Associate Professor of Molecular Biology at UT Southwestern and a New York Stem Cell Foundation (NYSCF)-Robertson Investigator.

Dr. Wu co-led the study with Yingying Hu, Ph.D., former Assistant Instructor in the Wu Lab, and Masahiro Sakurai, Ph.D., Research Scientist in the Wu Lab. Dr. Hu is currently a Senior Research Associate in the lab of Elizabeth Chen, Ph.D., Professor of Molecular Biology.

The Wu Lab is particularly interested in learning how to grow human cells with those of other species – research that could eventually lead to generating full human organs in animals and that sheds light on developmental processes in humans and other species. In 2021, Dr. Wu and his colleagues showed that when human PSCs were grown in lab dishes with the PSCs of distantly related species such as mice or rats, the human cells gradually died off while the other species’ cells thrived.

Why human PSCs were the “losers” in this co-culture competition was not fully understood, Dr. Wu explained. Although subsequent research showed it’s possible to help the human cells survive by genetically altering a molecular pathway responsible for programmed cell death, this tweak could cause problems in tissues and organs destined for transplant, he added. Thus, finding ways to mitigate this competitive process in the other species’ cells and embryos would be preferable.

Toward this end, Dr. Wu and his colleagues searched for any role the nonhuman cells might play in harming the human cells by growing mouse and human PSCs together in lab dishes and comparing the mouse cells’ gene expression activity with that of mouse cells grown without human cells. Their work revealed that a molecular cascade known as the retinoic acid-inducible gene I-like receptor (RLR) pathway was significantly more active in the co-cultured mouse cells compared with the mouse cells growing alone. This pathway is responsible for sensing foreign RNAs in cells – a consequence of some viral infections – and turning on immune activity to fight these invaders.

To determine if the RLR pathway was responsible for killing the co-cultured human cells, it was shut down in the mouse cells by turning off a key gene in the cascade responsible for producing the mitochondrial antiviral signaling protein, or MAVS, discovered at UTSW by Zhijian “James” Chen, Ph.D., Professor of Molecular Biology and in the Center for the Genetics of Host Defense. Significantly more human cells survived after this alteration, suggesting RNA innate immunity in the mouse cells was responsible for harming the human cells.

Further study revealed small amounts of human RNA in the co-cultured mouse cells and vice versa, suggesting the cells had exchanged RNA molecules. A closer look through microscopy suggested this exchange happened through tunneling nanotubes (TNTs), bridges formed by extensions of the cell membrane. When the researchers shut down TNT formation, more human cells survived. Notably, when human cells were injected into mouse embryos lacking MAVS, significantly more survived than those in mouse embryos with MAVS.

Dr. Wu said these findings offer multiple targets that scientists can use to increase the survival of human PSCs growing with PSCs or within embryos of other species – a step that brings growing human organs in animals closer to fruition.

Dr. Wu is a Virginia Murchison Linthicum Scholar in Medical Research. He is a member of the Cecil H. and Ida Green Center for Reproductive Biology Sciences, the Harold C. Simmons Comprehensive Cancer Center, and the Hamon Center for Regenerative Science and Medicine at UTSW. Dr. James Chen holds the George L. MacGregor Distinguished Chair in Biomedical Science.

A complete list of contributors can be found in the study. 

This study was funded by grants from the Cancer Prevention and Research Institute of Texas (RR170076), the New York Stem Cell Foundation, the National Institutes of Health (HD103627-01A1, not used for human-mouse chimera work), and The Welch Foundation (I-2261 and I-2088).

About UT Southwestern Medical Center    

UT Southwestern, one of the nation’s premier academic medical centers, integrates pioneering biomedical research with exceptional clinical care and education. The institution’s faculty members have received six Nobel Prizes and include 24 members of the National Academy of Sciences, 25 members of the National Academy of Medicine, and 13 Howard Hughes Medical Institute Investigators. The full-time faculty of more than 3,200 is responsible for groundbreaking medical advances and is committed to translating science-driven research quickly to new clinical treatments. UT Southwestern physicians provide care in more than 80 specialties to more than 140,000 hospitalized patients, more than 360,000 emergency room cases, and oversee nearly 5.1 million outpatient visits a year.

]]>
https://www.utsouthwestern.edu/newsroom/articles/year-2025/dec-growing-organs-other-species.html Mon, 08 Dec 2025 08:41:00 -0600
<![CDATA[Single-dose radiation before surgery can eradicate breast cancer]]> Two magnetic resonance imaging (MRI) scans
These two magnetic resonance imaging (MRI) scans were taken 10 months apart. On the left, the blue arrow points to the edge of a breast tumor, and the red arrow locates a biopsy clip, which appears as a black dot. The MRI on the right, which includes the biopsy clip, shows the tumor is gone after a single, targeted dose of radiation and antihormone therapy.

DALLAS – Nov. 17, 2025 – A single, targeted high dose of radiation delivered before other treatments could completely eradicate tumors in most women with early-stage, operable hormone-positive breast cancer, according to a study led by UT Southwestern Medical Center researchers. The findings, published in JAMA Network Open, could shift the paradigm for patients with the most common form of breast cancer, who typically undergo surgery before a regimen of radiation therapy.

Asal Rahimi, M.D.
Asal Rahimi, M.D., is Professor of Radiation Oncology, Associate Vice Chair for Program Development, and Medical Director of the Clinical Research Office at the Harold C. Simmons Comprehensive Cancer Center.

“This is a major advance in the field,” said study leader Asal Rahimi, M.D., Professor of Radiation Oncology, Associate Vice Chair for Program Development, and Medical Director of the Clinical Research Office at the Harold C. Simmons Comprehensive Cancer Center. “This treatment protocol provides patients a significant time savings, spares a lot of their tissue from irradiation, and allows them to still undergo any type of oncoplastic surgery they may choose, all while very effectively treating their disease.”

Like patients with other forms of cancer, those with breast cancer are typically treated with a combination of surgery to remove tumors, medications such as hormone blockers, chemotherapy, and radiation, often in that order. In addition, many patients choose to have breast reconstructive surgeries before radiation treatment.

Having targeted radiation prior to surgery has several benefits, including a more than 100-fold smaller volume of tissue being irradiated compared with whole breast radiation; one day of radiation compared with up to 6.5 weeks of radiation, creating a huge time savings for patients; and more options for patients seeking reconstructive surgery, explained Dr. Rahimi, who also serves as Chief of the Breast Radiation Oncology Service at UT Southwestern.

UT Southwestern researchers
These UT Southwestern researchers were involved in the study of a new treatment protocol for patients with early-stage, operable hormone-positive breast cancer.

Early-stage, hormone-positive breast cancer accounts for 60%-75% of all breast cancers. Seeking a more time-efficient way to treat these patients, Dr. Rahimi and her colleagues tested a strategy in which 44 patients started treatment with a single dose of targeted radiation. While typical radiation therapy protocols call for 1.8-2.67 Gy (a measure of radiation strength) per day for 16 to 33 days, the researchers divided the study participants into three groups and gave each patient a single dose of 30, 34, or 38 Gy. The volunteers then went on hormone-blocking drugs and waited a median of 9.8 months until they underwent surgery to remove any residual tumor tissue.

In 72% of study participants, the surgeons found no residual tumor left, indicating that patients had a “pathological complete response.” An additional 21% of patients had a “near complete response,” meaning that their cancer was more than 90% eliminated.

When the researchers further analyzed the results, they found that time to surgery was the best predictor of response. The longer patients waited to undergo surgery, the more likely their tumors were to disappear, regardless of the radiation dose or tumor size. These results were probably due to the time it takes cells to die or be removed by the immune system after radiation therapy, Dr. Rahimi explained.

Marilyn Leitch, M.D.
Marilyn Leitch, M.D., is Professor of Surgery at UT Southwestern. She holds the S.T. Harris Family Distinguished Chair in Breast Surgery, in Honor of A. Marilyn Leitch, M.D.

This new treatment protocol could hold significant advantages over the current gold standard, said Marilyn Leitch, M.D., Professor of Surgery, who holds the S.T. Harris Family Distinguished Chair in Breast Surgery, in Honor of A. Marilyn Leitch, M.D. For example, being able to wait to schedule surgery will allow patients to plan for the disruption it brings to their lives. The radiation course lasts a single day rather than weeks. Plus, in the future, this new approach may eliminate the need for surgery in some patients.

“Much of the current research in breast cancer is looking at ways to reduce the extent of surgery, radiation, and/or medical therapy that is required to completely treat early-stage breast cancer. It is very exciting to be part of innovative research that can improve the quality of life of our cancer patients and minimize the extent of treatment they require,” Dr. Leitch said.

The research team is currently enrolling patients in a phase two clinical trial called RAPS that is funded through a grant from the Cancer Prevention and Research Institute of Texas (CPRIT).

“If the results mirror the ones from this study, an initial targeted dose of radiation could become a new treatment option for patients with small, early-stage, hormone-positive breast cancer,” Dr. Leitch said.

Key collaborators involved in this study at UT Southwestern are Basak Dogan, M.D., Director of Breast Imaging Research and Professor of Radiology in the Breast Imaging Division; Prasanna Alluri, M.D., Ph.D., Assistant Professor of Radiation Oncology; and Sunati Sahoo, M.D., Professor of Pathology. A full list of contributors can be found in the published study.

Drs. Alluri, Dogan, Leitch, Rahimi, and Sahoo are members of the Simmons Cancer Center.

About UT Southwestern Medical Center    

UT Southwestern, one of the nation’s premier academic medical centers, integrates pioneering biomedical research with exceptional clinical care and education. The institution’s faculty members have received six Nobel Prizes and include 24 members of the National Academy of Sciences, 25 members of the National Academy of Medicine, and 13 Howard Hughes Medical Institute Investigators. The full-time faculty of more than 3,200 is responsible for groundbreaking medical advances and is committed to translating science-driven research quickly to new clinical treatments. UT Southwestern physicians provide care in more than 80 specialties to more than 140,000 hospitalized patients, more than 360,000 emergency room cases, and oversee nearly 5.1 million outpatient visits a year.

]]>
https://www.utsouthwestern.edu/newsroom/articles/year-2025/nov-single-dose-radiation.html Mon, 17 Nov 2025 08:43:00 -0600
<![CDATA[Metabolic hormone found to boost resilience against flu symptoms]]> Illustration of fibroblast growth factor 21 (FGF21), a hormone secreted by the liver.
FGF21, a stress-induced hormone that regulates whole-body metabolism, acts on the brain to protect against the hypothermia and weight loss caused by influenza infection. (Photo credit: Getty Images)

DALLAS – Nov. 13, 2025 – A hormone known for regulating energy balance also helps the body cope with influenza by triggering protective responses in the brain, a study led by UT Southwestern Medical Center researchers shows. The findings, published in the Proceedings of the National Academy of Sciences (PNAS), suggest that targeting this pathway could offer a new pharmacological approach for treating the flu.

Steven Kliewer, Ph.D.
Steven Kliewer, Ph.D., is Professor of Molecular Biology and Pharmacology at UT Southwestern. He is a member of the Harold C. Simmons Comprehensive Cancer Center and an Investigator in the Peter O’Donnell Jr. Brain Institute. Dr. Kliewer holds the Diana K. and Richard C. Strauss Distinguished Chair in Developmental Biology and is a member of the National Academy of Sciences.

“Our work demonstrates that FGF21, a stress-induced hormone that regulates whole-body metabolism, acts on the brain to protect against the hypothermia and weight loss caused by influenza infection,” said senior author Steven Kliewer, Ph.D., Professor of Molecular Biology and Pharmacology at UT Southwestern.

The study found that levels of fibroblast growth factor 21 (FGF21) rose in both humans and mice during flu infection. In mice, the hormone activated a brain region that regulates the noradrenergic nervous system, prompting heat production from tissues that help regulate body temperature in mice.

This thermogenic response helped stabilize body temperature and improved the response to flu infection. Mice lacking FGF21 or its receptor in these neurons recovered more slowly, while treatment with pharmacologic FGF21 improved recovery. The hormone did not change viral levels, indicating that it protects the body by mitigating the physiological stress of infection rather than directly targeting the virus. Collectively, these results suggest FGF21 could help the body respond more effectively to a range of infections, not just influenza. 

“For serious cases of influenza infection, the care is mostly supportive,” Dr. Kliewer said. “Our findings suggest a new pharmacological approach for treating the flu. Further studies are required to determine if these findings are applicable to other infections.”

Kartik Rajagopalan, M.D., Ph.D.
Kartik Rajagopalan, M.D., Ph.D., is Assistant Professor of Internal Medicine in the Division of Pulmonary and Critical Care Medicine and in Children’s Medical Center Research Institute at UT Southwestern.

The research builds on decades of work from the Mangelsdorf/Kliewer Lab at UTSW, which previously identified FGF21 as a hormone produced by the liver in response to metabolic stresses such as fasting and alcohol exposure. The new study extends that work to infection, showing that FGF21 uses the same liver-to-brain signaling pathway to help the body maintain metabolic balance during illness. 

“These findings demonstrate that the immune system is not the only critical part of the response to infection,” said corresponding author Kartik Rajagopalan, M.D., Ph.D., Assistant Professor of Internal Medicine in the Division of Pulmonary and Critical Care Medicine and in Children’s Medical Center Research Institute at UT Southwestern. “There are signals that are sent to the brain that reprogram metabolism for an optimal response.”

The work was a collaboration among UT Southwestern’s Departments of Pharmacology, Molecular Biology, and Internal Medicine, bringing together expertise in infection, endocrinology, and neuroscience. It also engaged trainees at multiple levels, including postdoctoral and clinical fellows, and incorporated human data showing that FGF21 levels rise during influenza infection.

“This project highlights the power of integrating basic and clinical research, which is a defining strength of UT Southwestern,” Dr. Kliewer said. “There are very few places where a project like this could have blossomed. We’re fortunate that UT Southwestern is one of them.” 

Other UTSW researchers who contributed to this study are first author Wei Fan, Ph.D., a former postdoctoral researcher in the Mangelsdorf/Kliewer Lab; Yuan Zhang, Ph.D., Assistant Professor of Pharmacology; Laurent Gautron, Ph.D., Assistant Professor of Internal Medicine; Tadiwanashe Gwatiringa, Research Assistant and Lab Manager; and the late David Mangelsdorf, Ph.D., former Chair and Professor of Pharmacology. The human studies were performed by collaborators at Weill Cornell Medicine.

Dr. Kliewer holds the Diana K. and Richard C. Strauss Distinguished Chair in Developmental Biology and is a member of the National Academy of Sciences. Drs. Kliewer, Rajagopalan, and Gautron are Investigators in the Peter O’Donnell Jr. Brain Institute at UT Southwestern. Dr. Kliewer is also a member of the Harold C. Simmons Comprehensive Cancer Center.

This study was funded by the National Institutes of Health (K23HL151876, R01AG079937, and R01AA028473), the Robert A. Welch Foundation (I-1275), a Stony Wold-Herbert Fund Fellowship, and the Howard Hughes Medical Institute.

About UT Southwestern Medical Center    

UT Southwestern, one of the nation’s premier academic medical centers, integrates pioneering biomedical research with exceptional clinical care and education. The institution’s faculty members have received six Nobel Prizes and include 24 members of the National Academy of Sciences, 25 members of the National Academy of Medicine, and 13 Howard Hughes Medical Institute Investigators. The full-time faculty of more than 3,200 is responsible for groundbreaking medical advances and is committed to translating science-driven research quickly to new clinical treatments. UT Southwestern physicians provide care in more than 80 specialties to more than 140,000 hospitalized patients, more than 360,000 emergency room cases, and oversee nearly 5.1 million outpatient visits a year.

]]>
https://www.utsouthwestern.edu/newsroom/articles/year-2025/nov-metabolic-hormone-flu-symptoms.html Thu, 13 Nov 2025 15:05:00 -0600
<![CDATA[Nanovaccine shows great promise for treating HPV-related cancers]]> Scientist pipetting liquid into a cell culture plate
Researchers tested the effectiveness of a nanovaccine in the lab to deliver antigens to immune cells and trigger the body’s protective response. (Photo credit: Getty Images)

DALLAS – Nov. 07, 2025 – A nanoparticle vaccine designed to fight cancers induced by human papillomavirus (HPV) eradicated tumors in an animal model of late-stage metastatic disease, UT Southwestern Medical Center scientists report in a new study published in the Proceedings of the National Academy of Sciences (PNAS). The findings could ultimately lead to a new type of vaccine that would be used to treat a variety of cancers.

Jinming Gao, Ph.D.
Jinming Gao, Ph.D., is Professor in the Harold C. Simmons Comprehensive Cancer Center and of Biomedical Engineering, Cell Biology, Otolaryngology – Head & Neck Surgery, and Pharmacology at UT Southwestern. He holds the Elaine Dewey Sammons Distinguished Chair in Cancer Research, in Honor of Eugene P. Frenkel, M.D.

“Our study provides a safe and effective way to treat cancers that have spread or cannot be surgically removed,” said Jinming Gao, Ph.D., Professor in the Harold C. Simmons Comprehensive Cancer Center and of Biomedical Engineering, Cell Biology, Otolaryngology Head & Neck Surgery, and Pharmacology at UT Southwestern. “Creating a nanovaccine for systemic use for metastatic cancers is not easy due to potential toxicity, but we have overcome those challenges with this new therapy.”

Dr. Gao co-led the study with Shuang Chen, Ph.D., and Shuyue Ye, Ph.D., both postdoctoral researchers in the Gao Lab.

Researchers have been developing vaccines that activate the immune system to prevent various illnesses since the late 1700s. More recently, they have developed a growing number of therapeutic vaccines, which harness the immune system to manage or treat preexisting diseases, such as cancer. A nanovaccine uses tiny particles to encapsulate and deliver antigens to immune cells, triggering the body’s protective response.

HPV causes about 37,800 new cancer cases in the U.S. each year, a number that continues to grow. Although there is an effective vaccine to prevent HPV, a sexually transmitted infection, no therapeutic vaccines exist to treat HPV-related cancers. Such a vaccine would be used to treat patients with HPV-related cancers, such as cervical and head and neck cancers, that have spread or are in locations that are inaccessible to surgical interventions or where radiation therapy is not feasible, Dr. Gao explained. Few effective treatments currently exist for these disease subsets.

To develop a therapeutic vaccine against HPV-related cancers, Dr. Gao and his colleagues combined a polymer and a small-molecule drug that both activate stimulator of interferon genes (STING) – a protein that triggers immune activity – with a protein antigen called E7 derived from HPV. Together, these components formed nanoparticles about 25-30 nanometers in diameter (for comparison, 1 million nanometers equal 1 millimeter).

When the researchers examined mice that received the nanovaccine, they found it was taken up by the spleen, an organ that harbors immune cells for surveillance of foreign particles such as viruses. Nanoparticles that entered immune cells unraveled into their components, with the polymer and drug stimulating STING activity and the viral protein priming the immune system to fight against cells that carried it.

Tests showed that the nanovaccine eradicated both primary HPV-related tumors and metastatic cancer nodules that spread to other organs. In a mouse model of metastatic HPV-related lung cancer, 71% of animals that received the nanovaccine were still alive 60 days after treatment, while those that received immune checkpoint inhibitors – drugs that are considered the current gold standard for treating metastatic HPV-related cancers – died of their disease during this time. When the scientists combined the nanovaccine with the checkpoint therapy, 100% of the mice survived. The nanovaccine appeared safe, causing no organ damage, weight loss, or immune activity beyond that aimed at the cancers.

Dr. Gao said these results showcase the promise of this approach for treating HPV-related cancers and could be adapted to other cancer types by customizing the cancer-related protein targeted by the vaccine. He and his colleagues are continuing to test this approach in animal models with a plan to eventually conduct clinical trials in patients.

A fellow of the National Academy of Inventors, Dr. Gao holds 18 U.S. patents and 78 foreign patents in the fields of polymer biomaterials, nanoparticle drug delivery, tumor surgical imaging, and cancer immunotherapy. Thirteen of the patents have been licensed to biotech companies.

Other UTSW researchers who contributed to this study are Baran D. Sumer, M.D., Professor of Otolaryngology – Head & Neck Surgery and Division Chief of Head and Neck Surgery; Gang Huang, Ph.D., Assistant Professor in the Simmons Cancer Center and of Pharmacology; Qiang Feng, Ph.D., Assistant Professor in the Simmons Cancer Center and of Biomedical Engineering; Zhichen Sun, Ph.D., Senior Research Associate; and Maggie Wang, M.S., and Raymundo Pantoja, B.S., graduate student researchers.

Drs. Gao, Sumer, and Huang are members of the Simmons Cancer Center.

This study was funded by grants from the National Institutes of Health (U54 CA244719 and R01CA216839), the Cancer Prevention and Research Institute of Texas (RP220150), the Mendelson-Young Endowment in Cancer Therapeutics, and the National Cancer Institute (NCI) Cancer Center Support Grant (P30CA142543).

Dr. Gao and Dr. Sumer are co-founders, stockholders, scientific advisory board members, and royalty recipients of OncoNano Medicine Inc. Dr. Huang is a scientific adviser and royalty recipient of OncoNano Medicine Inc. UT Southwestern also receives licensing income from OncoNano Medicine.

Dr. Gao holds the Elaine Dewey Sammons Distinguished Chair in Cancer Research, in Honor of Eugene P. Frenkel, M.D.

About UT Southwestern Medical Center    

UT  Southwestern, one of the nation’s premier academic medical centers, integrates pioneering biomedical research with exceptional clinical care and education. The institution’s faculty members have received six Nobel Prizes and include 24 members of the National Academy of Sciences, 25 members of the National Academy of Medicine, and 13 Howard Hughes Medical Institute Investigators. The full-time faculty of more than 3,200 is responsible for groundbreaking medical advances and is committed to translating science-driven research quickly to new clinical treatments. UT Southwestern physicians provide care in more than 80 specialties to more than 140,000 hospitalized patients, more than 360,000 emergency room cases, and oversee nearly 5.1 million outpatient visits a year.

]]>
https://www.utsouthwestern.edu/newsroom/articles/year-2025/nov-nanovaccine-hpv-related-cancers.html Fri, 07 Nov 2025 10:12:00 -0600
<![CDATA[UTSW study identifies factors affecting survival of patients with metastatic breast cancer]]> Doctor examining senior woman
Identifying factors associated with survival in patients with metastatic breast cancer may help clinicians as they formulate treatment plans.
(Photo credit: Getty Images)

DALLAS – Oct. 22, 2025 – Researchers have identified factors associated with survival for patients initially diagnosed with metastatic breast cancer who were seen at UT Southwestern Medical Center and its affiliated sites. Their findings, published in Communications Medicine, list certain demographic and clinical characteristics to consider among the regional population when formulating treatment plans for individual patients.

“Understanding local risk factors and regional practice patterns can guide more nuanced multidisciplinary care, helping clinicians identify patients at risk for worse outcomes and provide more personalized management,” said Isaac Chan, M.D., Ph.D., Assistant Professor of Internal Medicine in the Division of Hematology and Oncology and a member of the Harold C. Simmons Comprehensive Cancer Center at UT Southwestern.

Isaac Chan, M.D., Ph.D.
Isaac Chan, M.D., Ph.D., is Assistant Professor of Internal Medicine in the Division of Hematology and Oncology and a member of the Harold C. Simmons Comprehensive Cancer Center at UT Southwestern.

Researchers elsewhere have built national datasets that include information from thousands of patients to search for insights into metastatic breast cancer to better understand which individuals are at risk for poor outcomes. However, Dr. Chan explained, such large numbers can obscure findings that may be specific to local populations.

To overcome this issue, he and his colleagues developed the Dallas Metastatic Cancer Study, a database that has tracked patients with metastatic disease treated at UT Southwestern and affiliated sites, including Parkland Health, since 2010. Pulling data for patients who were first diagnosed with metastatic breast cancer between 2010 and 2021, the researchers examined clinical and demographic features, searching for those that correlated with decreased length of survival.

Their findings showed that patients who were Black, had public insurance or no health insurance, had underlying metabolic diseases such as high blood pressure or diabetes, or had cancer that metastasized to specific organs, including the brain, liver, or lungs, tended to die earlier than those without these factors.

Why these variables are associated with reduced survival will be the focus of future research, Dr. Chan said. In the meantime, he added, doctors may be able to improve survival by keeping a closer eye on patients with these risk factors.

Dr. Chan, who is also Assistant Professor of Molecular Biology, co-led the study with former trainees Hannah Chang, M.D., a member of the Chan Lab who is now an Assistant Professor of Medical Oncology & Therapeutics Research at City of Hope, and Meng Cao, M.D., medical resident. This is the first published study of the Chan Lab’s Metastasis Research Program.

Other UTSW researchers who contributed to this study are Mir Lim, M.D., Ariana Weiss, M.D., Danielle Martinez, M.D., Giselle Uwera, M.D., Jonathan Ladner, M.D., Priscilla Okanlawon, M.D., Ruchita Iyer, M.D., and Luis Chinea, M.D., medical residents; Anna Moscowitz, M.D., and Sangeetha Reddy, M.D., Assistant Professors of Internal Medicine; Ang Gao, M.S., Biostatistical Consultant; Katherine Lei, B.A., medical student; Heather McArthur, M.D., Professor of Internal Medicine and Clinical Director of the Breast Cancer Program at Simmons Cancer Center; and Sakshi Mohta, B.S., and Shao-Po Huang, B.S., graduate student researchers.

Drs. Reddy and McArthur are also members of Simmons Cancer Center.

This study was funded by the National Institutes of Health (1K08CA270188-01A1), a METAvivor Early Career Investigator Award, a Susan G. Komen Career Catalyst Research Grant (1010879), a Mary Kay Ash Foundation Cancer Research Grant (11-23), a Robert J. & Claire Pasarow Foundation Award, and a National Cancer Institute Cancer Center Support Grant (P30CA142543).

About UT Southwestern Medical Center    

UT Southwestern, one of the nation’s premier academic medical centers, integrates pioneering biomedical research with exceptional clinical care and education. The institution’s faculty members have received six Nobel Prizes and include 24 members of the National Academy of Sciences, 25 members of the National Academy of Medicine, and 13 Howard Hughes Medical Institute Investigators. The full-time faculty of more than 3,200 is responsible for groundbreaking medical advances and is committed to translating science-driven research quickly to new clinical treatments. UT Southwestern physicians provide care in more than 80 specialties to more than 140,000 hospitalized patients, more than 360,000 emergency room cases, and oversee nearly 5.1 million outpatient visits a year.

About Parkland Health

Parkland Health is one of the largest public hospital systems in the country. Premier services at the state-of-the-art Parkland Memorial Hospital include the Level I Rees-Jones Trauma Center, the only burn center in North Texas verified by the American Burn Association for adult and pediatric patients, and a Level III Neonatal Intensive Care Unit. The system also includes two on-campus outpatient clinics – the Ron J. Anderson, MD Clinic and the Moody Outpatient Center, as well as more than 30 community-based clinics and numerous outreach and education programs. By cultivating its diversity, inclusion, and health equity efforts, Parkland enriches the health and wellness of the communities it serves. For more information, visit parklandhealth.org.

]]>
https://www.utsouthwestern.edu/newsroom/articles/year-2025/oct-metastatic-breast-cancer.html Wed, 22 Oct 2025 09:51:00 -0500
<![CDATA[UTSW Physiology Chair, molecular biologist elected to National Academy of Medicine]]> DALLAS – Oct. 20, 2025 – Duojia Pan, Ph.D., Chair and Professor of Physiology at UT Southwestern Medical Center, and Joshua Mendell, M.D., Ph.D., Professor of Molecular Biology, have been elected to the National Academy of Medicine (NAM), one of the highest honors in the fields of health and medicine.

With the elections, UT Southwestern has 25 members of the National Academy of Medicine – more than any other institution in Texas – along with 24 members of the National Academy of Sciences (NAS) and 13 Howard Hughes Medical Institute (HHMI) Investigators.

Dr. Pan is recognized for advancing the understanding of the molecular pathways that regulate tissue growth and homeostasis, while Dr. Mendell has led pioneering research into the functions of noncoding RNAs in both normal physiology and diseases such as cancer. Both investigators are members of the Harold C. Simmons Comprehensive Cancer Center, where their discoveries continue to shape innovative approaches to cancer treatment and deepen our understanding of tumor biology.

“The elections of Dr. Mendell and Dr. Pan to the National Academy of Medicine reflect the depth and significance of their scientific contributions to our understanding of cancer biology,” said Daniel K. Podolsky, M.D., President of UT Southwestern and a member of the NAM. “Dr. Mendell’s work has illuminated the role of microRNAs in tumor development, leading to promising therapeutic strategies, while Dr. Pan’s discoveries related to tumor suppressor genes have advanced the use of targeted inhibitors to control cancer growth. This recognition underscores the impact of their research for its potential to ultimately lead to more effective therapies.”

Joshua Mendell, M.D., Ph.D.

Joshua Mendell, M.D., Ph.D.
Joshua Mendell, M.D., Ph.D., is Vice Chair and Professor of Molecular Biology at UT Southwestern. He holds the Charles Cameron Sprague, M.D. Chair in Medical Science.

Charles Cameron Sprague, M.D. Chair in Medical Science

Dr. Mendell, an HHMI Investigator, joined UT Southwestern in 2011 from the Johns Hopkins University School of Medicine. He serves as Vice Chair in the Department of Molecular Biology and is a member of the Hamon Center for Regenerative Science and Medicine.

The Mendell Lab investigates fundamental aspects of post-transcriptional gene regulation, noncoding RNA regulation and function, and the roles of these pathways in normal physiology, cancer, and other diseases. In 2005, he and his colleagues uncovered the first example of a vertebrate transcription factor that regulates the expression of microRNAs (miRNAs), a type of noncoding RNA. This study was important for establishing the principle that miRNAs have been functionally integrated into core cancer pathways.

Dr. Mendell’s team further defined the roles of miRNAs in several critical oncogenic and tumor suppressor pathways. They have translated these findings into novel therapeutic approaches, most notably through demonstrating that systemic delivery of miRNAs potently suppresses the growth of tumors in mouse cancer models without toxicity. Most recently, Dr. Mendell and his colleagues have used high-throughput approaches to investigate RNA biology and post-transcriptional regulation, a strategy they are now applying to diverse problems in the laboratory.

Dr. Mendell earned his undergraduate degree in biology from Cornell University and his Ph.D. and M.D. from Johns Hopkins. Previous honors include the Paul Marks Prize for Cancer Research (2019) and the Edith and Peter O’Donnell Award in Medicine from the Texas Academy of Medicine, Engineering, Science and Technology (2016).

“I am deeply honored to be elected to the National Academy of Medicine and join the ranks of the many accomplished UT Southwestern faculty who have previously been recognized with this distinction,” Dr. Mendell said. “This would not have been possible without the amazing trainees and staff who have worked in my laboratory over the last 20 years, as well as the support of our Chair, Eric Olson, Ph.D., my colleagues in the Department of Molecular Biology, and the broader UT Southwestern community. I feel very fortunate to have an opportunity to lead a research team at this remarkable institution.”

Duojia Pan, Ph.D.

Duojia Pan, Ph.D.
Duojia Pan, Ph.D., is Chair and Professor of Physiology at UT Southwestern. He holds the Fouad A. and Val Imm Bashour Distinguished Chair in Physiology.

Fouad A. and Val Imm Bashour Distinguished Chair in Physiology

Dr. Pan, who is also a member of the NAS and an HHMI Investigator, first joined the UT Southwestern faculty in 1998. Recruited to Johns Hopkins in 2004, he returned to UT Southwestern in 2016 as Chair of the Department of Physiology.

Dr. Pan is best known for his foundational discoveries of the Hippo signaling pathway that controls animal tissue growth. Using the fruit fly Drosophila as a model, the Pan Lab made a series of discoveries that defined, in a stepwise manner, the key molecular events in the Hippo signaling pathway. Most recently, his lab revealed a surprising role for Hippo signaling in regulating cell aggregation and density in a close unicellular relative of animals.

In addition, the Pan Lab elucidated the molecular function of the Tsc1 and Tsc2 tumor suppressor genes, linking Tsc1/Tsc2 to Rheb and TOR signaling. This work provided the key molecular insight for the use of mTOR inhibitors in the treatment of tuberous sclerosis, a genetic disease that can lead to tumor development in multiple tissues.

Dr. Pan earned his undergraduate degree in biochemistry from Peking University in 1988 and his Ph.D. from the University of California, Los Angeles in 1993. He completed his postdoctoral training at the University of California, Berkeley. Previous honors include the Passano Award (2022) and the Paul Marks Prize for Cancer Research (2013).

“I am deeply honored and humbled to be elected to the National Academy of Medicine,” Dr. Pan said. “This is a recognition of the creativity, hard work, and team efforts of my laboratory over the last 27 years. Our work started at UT Southwestern when I was an Assistant Professor. I am extremely grateful for the superb scientific environment at UT Southwestern.”

Founded in 1970 as the Institute of Medicine, the NAM is one of three academies that make up the National Academies of Sciences, Engineering, and Medicine in the United States. Operating under the 1863 Congressional charter of the National Academy of Sciences, the National Academies are private, nonprofit institutions that work outside of government to provide objective advice on matters of science, technology, and health. 

For a complete list of NAM members at UTSW, please visit our Legacy of Excellence in Science & Medicine page.

Dr. Podolsky holds the Philip O’Bryan Montgomery, Jr., M.D. Distinguished Presidential Chair in Academic Administration and the Charles Cameron Sprague Distinguished Chair in Biomedical Science.

About UT Southwestern Medical Center    

UT Southwestern, one of the nation’s premier academic medical centers, integrates pioneering biomedical research with exceptional clinical care and education. The institution’s faculty members have received six Nobel Prizes and include 24 members of the National Academy of Sciences, 25 members of the National Academy of Medicine, and 13 Howard Hughes Medical Institute Investigators. The full-time faculty of more than 3,200 is responsible for groundbreaking medical advances and is committed to translating science-driven research quickly to new clinical treatments. UT Southwestern physicians provide care in more than 80 specialties to more than 140,000 hospitalized patients, more than 360,000 emergency room cases, and oversee nearly 5.1 million outpatient visits a year.

]]>
https://www.utsouthwestern.edu/newsroom/articles/year-2025/oct-nam-physiology-chair-molecular-biologist.html Mon, 20 Oct 2025 08:49:00 -0500
<![CDATA[UTSW study provides new insight into cause of cancer deaths]]>

DALLAS – Oct. 16, 2025 – The ultimate cause of death from cancer may not be metastatic disease, as researchers have long surmised, but an infiltration of tumors into major blood vessels that cause blood clots and multiorgan failure, a one-of-a-kind clinical study led by UT Southwestern Medical Center suggests. These findings, published in Nature Medicine, could spur interventions that extend the lives of patients with advanced cancers.

Matteo Ligorio, M.D., Ph.D.
Matteo Ligorio, M.D., Ph.D., is Assistant Professor of Surgery and in the Harold C. Simmons Comprehensive Cancer Center at UT Southwestern.

“The big question we were trying to answer: What kills cancer patients? Why do they die one specific day rather than six months earlier or later?” said Matteo Ligorio, M.D., Ph.D., Assistant Professor of Surgery and in the Harold C. Simmons Comprehensive Cancer Center. Dr. Ligorio led the study along with Kelley Newcomer, M.D., Associate Professor of Internal Medicine at UT Southwestern, and Nicola Aceto, Ph.D., Professor of Molecular Oncology at ETH Zurich in Switzerland.

Cancer claims about 600,000 people in the U.S. each year. However, what actually ends their lives has been a mystery, Dr. Ligorio explained. Although scientists have long proposed that cancer mortality is caused by the spread of tumors throughout the body – a phenomenon known as metastasis – patients often live with metastatic disease for years, suggesting that this may not be what instigates the clinical decline that ultimately leads to death.

Some studies have shown that cancer patients are more likely to develop blood clots in their heart, liver, and lungs, indicating that the cardiovascular system is altered in advanced malignancies. But whether this factor contributes to their demise has been unknown.

Kelley Newcomer, M.D.
Kelley Newcomer, M.D., is Associate Professor of Internal Medicine at UT Southwestern.

To investigate this question, Drs. Newcomer and Ligorio analyzed a retrospective cohort of more than 100 patients with colorectal, lung, ovarian, liver, or pancreatic cancer who had died at William P. Clements Jr. University Hospital and Parkland Health and undergone routine autopsies. Dr. Newcomer then recruited 31 terminally ill patients who were in hospice: 21 with solid tumors and 10 with other conditions. Over the following weeks, she monitored and examined these patients. Dr. Newcomer and Dr. Ligorio’s clinical team also took blood samples whenever the patients reported a significant change in their health status or when their score worsened on an assessment called the Palliative Performance Scale, one of the most commonly used bedside tools to determine the status of patients in palliative care settings.

When these patients died – an average of about 38 days after they were enrolled in the study – Dr. Ligorio performed a modified autopsy on each. While normal autopsy procedures tend not to maintain the integrity of all major blood vessels, his altered protocol preserved them so he could examine their walls and interiors.

The modified autopsies revealed that, unlike the patients who died of other causes, those with cancer typically had tumors penetrating the walls and extending into the interiors of major blood vessels, including the portal vein, inferior vena cava, hepatic veins, and/or abdominal aorta. In several cases where CT scans were available, these vessel-invading growths were present in the weeks or months preceding death, suggesting that such lesions may be detectable on routine imaging.

In addition, blood samples taken during the visits in the follow-up period and analyzed by Dr. Aceto’s team at ETH Zurich revealed a sharp uptick in the number of cancer cells in the bloodstream just before death, strengthening the massive involvement of the cardiovascular system during disease progression.

Together, these findings led Dr. Ligorio to a new theory on what kills cancer patients: When tumors – either primary or metastatic – impinge upon major blood vessels, microscopic pieces of the tumors may break off and join the bloodstream, making blood more likely to clot. Clots that form through this process would restrict blood flow to organs, leading to multiorgan failure that ultimately causes death.

To help validate this idea, researchers examined CT imaging data from 1,250 cancer patients who died that was collected by Dr. Ligorio’s collaborators at the University of Lubeck and the University of Mainz in Germany. Dario Ghersi, M.D., Ph.D., Associate Professor at the University of Nebraska at Omaha, and William Gasper, Ph.D., a graduate student at the University of Nebraska at Omaha at the time of this research, co-led these analyses with Dr. Ligorio, Dr. Newcomer, and Dr. Aceto. They confirmed that most of these patients had tumors infiltrating major blood vessels, supporting this new theory of cancer progression.

“Surgery or radiation to treat tumors approaching large blood vessels could potentially transform how we diagnose, manage, and treat patients with cancers,” Dr. Newcomer said.

Drs. Newcomer and Ligorio thanked the patients and their families who generously agreed to participate in this study to advance the scientific understanding of cancer and support the development of new treatments. They also expressed gratitude to the three hospice organizations — Visiting Nurse Association of Texas, Faith Presbyterian Hospice, and Pathway Hospice — for their collaboration in this clinical study.

Dr. Ligorio and Dr. Newcomer are now designing clinical trials, along with Herbert J. Zeh III, M.D., Chair and Professor of Surgery at UTSW, to test these therapeutic approaches and determine whether targeting tumor-vessel infiltration can substantially extend survival, including in patients with advanced disease.

A full list of contributors and their disclosures can be found in the published study.

This study was funded by grants from the Cancer Prevention and Research Institute of Texas (RR200023), the National Cancer Institute (NCI) (5R37CA242070), the American-Italian Cancer Foundation Post-Doctoral Research Fellowship, the European Research Council (101001652), the strategic focus area of Personalized Health and Related Technologies at ETH Zurich (PHRT-960), the Swiss National Science Foundation (212183), the Swiss Cancer League (KLS-5636-08-2022), the ETH Zurich Lymphoma Challenge (LC-02-22), the ETH Zurich, and an NCI Cancer Center Support Grant (P30CA142543).  

About UT Southwestern Medical Center    

UT Southwestern, one of the nation’s premier academic medical centers, integrates pioneering biomedical research with exceptional clinical care and education. The institution’s faculty members have received six Nobel Prizes and include 24 members of the National Academy of Sciences, 23 members of the National Academy of Medicine, and 13 Howard Hughes Medical Institute Investigators. The full-time faculty of more than 3,200 is responsible for groundbreaking medical advances and is committed to translating science-driven research quickly to new clinical treatments. UT Southwestern physicians provide care in more than 80 specialties to more than 140,000 hospitalized patients, more than 360,000 emergency room cases, and oversee nearly 5.1 million outpatient visits a year.

About Parkland Health

Parkland Health is one of the largest public hospital systems in the country. Premier services at the state-of-the-art Parkland Memorial Hospital include the Level I Rees-Jones Trauma Center, the only burn center in North Texas verified by the American Burn Association for adult and pediatric patients, and a Level III Neonatal Intensive Care Unit. The system also includes two on-campus outpatient clinics – the Ron J. Anderson, MD Clinic and the Moody Outpatient Center, as well as more than 30 community-based clinics and numerous outreach and education programs. By cultivating its diversity, inclusion, and health equity efforts, Parkland enriches the health and wellness of the communities it serves. For more information, visit parklandhealth.org.

]]>
https://www.utsouthwestern.edu/newsroom/articles/year-2025/oct-biological-causes-cancer-deaths.html Thu, 16 Oct 2025 09:51:00 -0500
<![CDATA[Neurons in brain’s timekeeper might control nighttime hunger]]> A thin slice from the middle of a mouse brain
This image shows a thin slice from the middle of a mouse brain, with the region known as the suprachiasmatic nucleus (SCN) surrounded by a white box. The small green dots mark brain cells that react to the hunger hormone ghrelin. When the ghrelin-sensitive cells in the SCN are turned off during the mouse’s normal rest time, the animals snack less and lose weight.

DALLAS – Oct. 15, 2025 – Activating specific neurons in a part of the brain that serves as the body’s master circadian pacemaker caused mice to eat significantly more during a time of day when they would normally be at rest, a UT Southwestern Medical Center study shows. The findings, published in Cell Reports, could lead to new strategies to help people lose weight, including night shift workers who have a higher prevalence of obesity.

“We identify for the first time a distinct set of neurons in the brain that controls feeding and metabolism during one specific time of day and accounts for a small but not insignificant proportion of body weight,” said Jeffrey Zigman, M.D., Ph.D., Professor of Internal Medicine and Psychiatry at UT Southwestern. Dr. Zigman co-led the study with first author Omprakash Singh, Ph.D., a postdoctoral researcher in the Zigman Lab.

Jeffrey Zigman, M.D., Ph.D.
Jeffrey Zigman, M.D., Ph.D., is a Professor of Internal Medicine and Psychiatry, a member of the Center for Hypothalamic Research and the Harold C. Simmons Comprehensive Cancer Center, and an Investigator in the Peter O’Donnell Jr. Brain Institute at UT Southwestern. He holds the Kent and Jodi Foster Distinguished Chair in Endocrinology, in Honor of Daniel Foster, M.D.; the Mr. and Mrs. Bruce G. Brookshire Professorship in Medicine; and The Diana and Richard C. Strauss Professorship in Biomedical Research.

Researchers have long known that eating impacts body weight differently depending on when food is consumed, Dr. Zigman explained. For example, eating late at night is associated with greater weight gain than eating the same amount during the day. This effect is especially apparent in night shift workers, who are more frequently overweight or obese despite caloric intake similar to day workers.

These observations suggest specific circuits of neurons that affect feeding and metabolism might operate differently at various times of the day. Dr. Zigman, Dr. Singh, and their colleagues hypothesized that one such circuit might be in the suprachiasmatic nucleus (SCN), a part of the brain that sets circadian rhythms throughout the body based on light received through the eyes.

Previous research in the Zigman Lab showed that some SCN neurons are stimulated by ghrelin, a hormone that prompts feeding and slows metabolism to encourage weight gain. However, the significance of these findings had been unclear.

To better understand this population of SCN neurons, the researchers worked with mice genetically altered so the scientists could turn these neurons on and off. They found that if they turned on the neurons in the middle of the animals’ rest period – around 10 a.m., since mice are nocturnal – they ate more than two times as much as they usually do during this time. Turning the neurons off at this time reduced the already low amount of food typically consumed during this period.

Whether the neurons were on or off during other times of day or night had no effect on the rodents’ feeding behavior or weight. But turning the neurons off during their rest period for 15 straight days caused them to lose about 4.3% of their body weight, while mice with unaltered SCN neurons gained about 2.5%. These results suggest the activity of the ghrelin-stimulated SCN neurons is responsible for about 7% of body weight – a small but significant amount that could make a marked difference for overall health, Dr. Zigman said.

If these results also apply to humans, he added, they suggest that targeting the same population of neurons in the SCN could offer weight-loss benefits similar to those seen with some modern weight-loss drugs. This strategy could be especially beneficial for night shift workers and other groups to prevent or treat weight gain linked to nighttime eating.

Other UTSW researchers who contributed to this study are Kripa Shankar, Ph.D., Instructor in the Center for Human Nutrition and of Internal Medicine; Deepali Gupta, Ph.D., Instructor in the Peter O’Donnell Jr. Brain Institute and of Neuroscience; Luis Leon Mercado, Ph.D., Instructor of Internal Medicine; Sherri Osborne-Lawrence, M.S., Senior Research Scientist; Corine P. Richard, R.N.; Sepideh Sheybani-Deloui, Ph.D., and Salil Varshney, Ph.D., postdoctoral researchers; Soumya Kulkarni, B.S., Moyu Lyu, M.S., and Bingbing Li, B.S., graduate student researchers; Avi W. Burstein, high school student researcher; and Connor Lawrence, research assistant.

Dr. Zigman is a member of the Center for Hypothalamic Research and the Harold C. Simmons Comprehensive Cancer Center and an Investigator in the O’Donnell Brain Institute. He holds the Kent and Jodi Foster Distinguished Chair in Endocrinology, in Honor of Daniel Foster, M.D.; the Mr. and Mrs. Bruce G. Brookshire Professorship in Medicine; and The Diana and Richard C. Strauss Professorship in Biomedical Research.

About UT Southwestern Medical Center    

UT Southwestern, one of the nation’s premier academic medical centers, integrates pioneering biomedical research with exceptional clinical care and education. The institution’s faculty members have received six Nobel Prizes and include 24 members of the National Academy of Sciences, 23 members of the National Academy of Medicine, and 13 Howard Hughes Medical Institute Investigators. The full-time faculty of more than 3,200 is responsible for groundbreaking medical advances and is committed to translating science-driven research quickly to new clinical treatments. UT Southwestern physicians provide care in more than 80 specialties to more than 140,000 hospitalized patients, more than 360,000 emergency room cases, and oversee nearly 5.1 million outpatient visits a year.

]]>
https://www.utsouthwestern.edu/newsroom/articles/year-2025/oct-neurons-brain-timekeeper.html Wed, 15 Oct 2025 08:46:00 -0500
<![CDATA[AI can identify stroke types using clinical notes, study shows]]> A glowing AI symbol hovers above a detailed CPU and circuit board, connected by intricate pathways of light.
(Photo Credit: Getty Images)

DALLAS – Oct. 13, 2025 – Using only text from doctors’ notes and radiology reports, an artificial intelligence (AI) program known as GPT-4o reliably identified patients’ types of strokes, UT Southwestern Medical Center researchers found. Their study, published in Stroke, could eventually lead to new ways to help guide doctors’ medical decisions in real time and reduce the heavy workload necessary to report data to patient registries.

Ann Marie Navar, M.D., Ph.D.
Ann Marie Navar, M.D., Ph.D., is Associate Professor of Internal Medicine and in the Peter O’Donnell Jr. School of Public Health at UT Southwestern.

“Large language models (LLMs) that can decipher unstructured text are an emerging AI technology with immense potential in medical research. Our study provides proof that these LLMs can abstract medical diagnoses from medical notes as well as human chart abstractors,” said Ann Marie Navar, M.D., Ph.D., Associate Professor of Internal Medicine and in the Peter O’Donnell Jr. School of Public Health at UT Southwestern.

Dr. Navar co-led the study with Eric Peterson, M.D., M.P.H., Professor of Internal Medicine and in the O’Donnell School of Public Health, Vice Provost, and Senior Associate Dean for Clinical Research; and Dylan Owens, Ph.D., M.S., Postdoctoral Researcher.

Like most large academic medical centers, UTSW participates in several patient registries – systematic collections of data on specific conditions that researchers use for studies. One prominent example is the American Heart Association’s Get With The Guidelines-Stroke (GWTG-Stroke), a quality improvement initiative involving over 2,600 hospitals across the country. When patients are treated at one of these hospitals for stroke, trained nurses collect a wealth of information from their electronic health records, inputting the data into lengthy forms. This process requires an enormous amount of human labor.

Eric Peterson, M.D., M.P.H.
Eric Peterson, M.D., M.P.H., is Professor of Internal Medicine and in the O’Donnell School of Public Health, Vice Provost, and Senior Associate Dean for Clinical Research at UT Southwestern. He holds the Adelyn and Edmund M. Hoffman Distinguished Chair in Medical Science.

To decrease this burden, Drs. Owens, Navar, and Peterson wondered whether LLMs – a form of AI designed to understand and generate human language – could be used for the same purpose. They started with a simple question: Could an LLM accurately determine stroke type based only on “unstructured” data found in electronic health records, such as notes and reports?

The researchers tested this idea with GPT-4o, an LLM introduced this year with capabilities beyond the more commonly used ChatGPT. Using electronic health records for 4,123 patients hospitalized for stroke at UT Southwestern and Parkland Health between January 2019 and August 2023, the team evaluated three types of prompts asking the LLM to distinguish each patient’s stroke type. Zero-shot chain-of-thought prompts encouraged the model to break complex queries into smaller, logical steps using minimal human input; expert-guided prompts incorporated tips from neurologists and cardiologists; and instruction-based prompts steered the model to evaluate patients’ records using GWTG-Stroke registry guidelines.

The researchers compared the results they received from GPT-4o with those recorded in registry reports for these patients in GWTG-Stroke. They found that all three LLM prompt styles accurately distinguished between the two major types of stroke – hemorrhagic and ischemic – and between hemorrhagic subtypes. However, accuracy was lower for some ischemic subtypes, such as cryptogenic strokes. This lower reliability reflects real-world difficulty in classifying these subtypes, which tend to be diagnoses of exclusion, Dr. Owens explained.

Dylan Owens, Ph.D., M.S.
Dylan Owens, Ph.D., M.S., is a Postdoctoral Researcher at UT Southwestern.

Together, he said, the results suggest LLMs could be a useful tool for accurately abstracting some information from electronic health records for populating time-intensive registry forms and could be used to flag other data that need a closer look from human abstractors. Future research will focus on using LLMs to fill in other parts of registry forms, as well as the feasibility of using LLMs for clinical decision support – programs that aim to improve patient outcomes by delivering timely information to providers at the point of care.

Dr. Owens noted that UTSW researchers also have achieved success working with LLMs for other tasks such as matching patients with clinical trials, performing quality assessments while investigating opportunities for population health improvement, and automating extraction of clinical data for research.

Additional UTSW researchers who contributed to this study are Justin Rousseau, M.D., M.M.Sc., Associate Professor of Neurology and in the Peter O’Donnell Jr. Brain Institute and Deputy Chief Medical Informatics Officer for Neurosciences; Michael Dohopolski, M.D., Assistant Professor of Radiation Oncology and a member of the Harold C. Simmons Comprehensive Cancer Center; and Danh Q. Nguyen, M.D., Clinical Fellow.

Dr. Peterson holds the Adelyn and Edmund M. Hoffman Distinguished Chair in Medical Science.

This study was funded by UT Southwestern Medical Center and grants from the National Institutes of Health (5T32HL12524710 and UL11R003163).

About UT Southwestern Medical Center 

UT Southwestern, one of the nation’s premier academic medical centers, integrates pioneering biomedical research with exceptional clinical care and education. The institution’s faculty members have received six Nobel Prizes and include 24 members of the National Academy of Sciences, 23 members of the National Academy of Medicine, and 13 Howard Hughes Medical Institute Investigators. The full-time faculty of more than 3,200 is responsible for groundbreaking medical advances and is committed to translating science-driven research quickly to new clinical treatments. UT Southwestern physicians provide care in more than 80 specialties to more than 140,000 hospitalized patients, more than 360,000 emergency room cases, and oversee nearly 5.1 million outpatient visits a year.

About Parkland Health

Parkland Health is one of the largest public hospital systems in the country. Premier services at the state-of-the-art Parkland Memorial Hospital include the Level I Rees-Jones Trauma Center, the only burn center in North Texas verified by the American Burn Association for adult and pediatric patients, and a Level III Neonatal Intensive Care Unit. The system also includes two on-campus outpatient clinics – the Ron J. Anderson, MD Clinic and the Moody Outpatient Center, as well as more than 30 community-based clinics and numerous outreach and education programs. By cultivating its diversity, inclusion, and health equity efforts, Parkland enriches the health and wellness of the communities it serves. For more information, visit parklandhealth.org.

]]>
https://www.utsouthwestern.edu/newsroom/articles/year-2025/oct-ai-strokes.html Mon, 13 Oct 2025 09:29:00 -0500