Skip to Main

Study identifies key protein regulating cholesterol release

UTSW discovery could lead to a novel approach for treating heart disease, fatty liver disease

apolipoprotein B a gene involved in the formation of lipoproteins
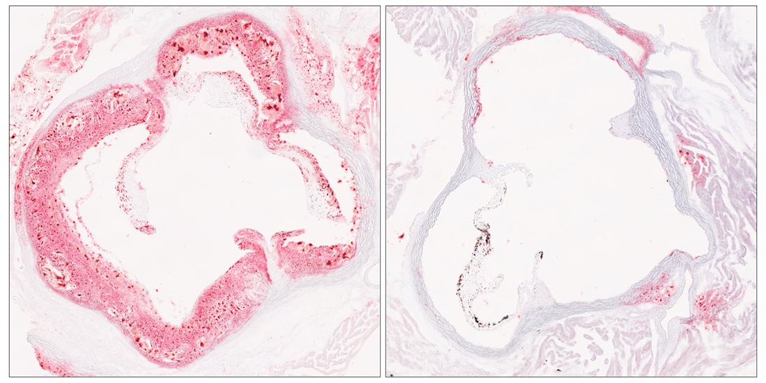
UT Southwestern researchers discovered that the HELZ2 protein regulates apolipoprotein B (APOB), a gene essential for forming lipoproteins that transport cholesterol and fat through the blood. In these images, aortic root sections from mice lacking the LDL receptor (LDLR) and carrying the HELZ2 mutation (right) show reduced atherosclerotic plaque (red) compared with LDLR-deficient controls (left).

DALLAS – Feb. 03, 2026 – Two UT Southwestern Medical Center researchers have identified a protein that plays a key role in controlling the liver’s release of cholesterol-carrying lipoproteins into the bloodstream, a discovery that could lead to new treatments for atherosclerotic heart disease and fatty liver disease.

The study, published in the American Heart Association journal Circulation, found that the protein, called HELZ2, regulates apolipoprotein B (APOB), a gene essential for the formation of apoB proteins and, ultimately, lipoproteins, the particles that transport cholesterol and fat through the blood.

“These particles are a major driver of plaque buildup in the arteries,” said senior author Zhao Zhang, Ph.D., Assistant Professor in UT Southwestern’s Center for the Genetics of Host Defense and of Internal Medicine. “What we found is that HELZ2 acts as a powerful control point for how many cholesterol-carrying particles ultimately enter the bloodstream.”

The researchers found that HELZ2 shortens the lifespan of APOB messenger RNA (mRNA) – the molecule that carries instructions from genes to make proteins – inside liver cells. When HELZ2 activity increases, less apoB protein is made, which in turn reduces the number of cholesterol-carrying particles released into the blood.

Zhao Zhang, Ph.D. and Yiao Jiang, Ph.D.
Zhao Zhang, Ph.D., (left) Assistant Professor in UT Southwestern’s Center for the Genetics of Host Defense and of Internal Medicine, and Yiao Jiang, Ph.D., postdoctoral researcher in the Zhang Lab, collaborated on the study.

“Most previous research focused on what happens to apoB after it’s already made,” said Yiao Jiang, Ph.D., a postdoctoral researcher in the Zhang Lab and study co-author. “What surprised us is that HELZ2 acts much earlier, by controlling how long the apoB ‘message’ survives before the protein is even produced.”

The team used a large-scale genetic screen originally developed by Nobel Laureate Bruce Beutler, M.D., Director of the Center for the Genetics of Host Defense and Professor of Immunology and Internal Medicine at UT Southwestern. Focusing on unusual levels of liver fat accumulation in mice, the scientists identified a gain-of-function mutation in HELZ2, which made it more active, reducing the stability of APOB mRNA within the liver.

Mice with this mutation produced fewer lipoproteins, including LDL (low-density lipoprotein) cholesterol and triglycerides, circulating in their blood. As a result, they were more protected from atherosclerosis, even though fat accumulated in their livers – a pattern that highlights the tradeoff between blood cholesterol levels and liver fat storage. Mice without the mutation showed the opposite pattern.

“We can think of HELZ2 as a kind of dial between the liver and the bloodstream,” Dr. Zhang said. “Turning it up lowers cholesterol in the blood but increases liver fat. Turning it down does the reverse. That balance makes HELZ2 especially interesting as a potential therapeutic target.” 

Statins are currently the drugs most commonly used to reduce cholesterol and lower the risk of heart disease. With further research, the investigators say, targeting HELZ2 could one day offer a different approach to reducing harmful lipoproteins. At the same time, carefully modulating HELZ2 activity could open new avenues for treating fatty liver disease.  

“The idea that we can control apoB at the RNA level represents a major shift in how we think about cholesterol regulation,” Dr. Zhang said. “It gives us a new molecular lever – and potentially a new set of tools – for tackling these conditions.”

Dr. Beutler, a Regental Professor, shared the 2011 Nobel Prize in Physiology or Medicine for his discovery of an important family of receptors found on immune cells. He holds the Raymond and Ellen Willie Distinguished Chair in Cancer Research, in Honor of Laverne and Raymond Willie, Sr. Dr. Beutler is a member of the Harold C. Simmons Comprehensive Cancer Center

This research was supported by funding from the National Institute of Diabetes and Digestive and Kidney Diseases of the National Institutes of Health (R00DK115766 and R01DK130959).

About UT Southwestern Medical Center   

UT Southwestern, one of the nation’s premier academic medical centers, integrates pioneering biomedical research with exceptional clinical care and education. The institution’s faculty members have received six Nobel Prizes and include 24 members of the National Academy of Sciences, 25 members of the National Academy of Medicine, and 13 Howard Hughes Medical Institute Investigators. The full-time faculty of more than 3,300 is responsible for groundbreaking medical advances and is committed to translating science-driven research quickly to new clinical treatments. UT Southwestern physicians in more than 80 specialties care for more than 143,000 hospitalized patients, attend to more than 470,000 emergency room cases, and oversee nearly 5.3 million outpatient visits a year.